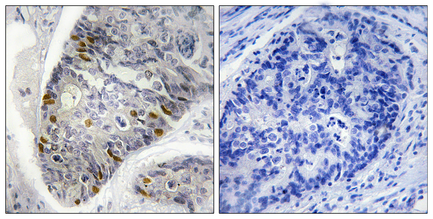
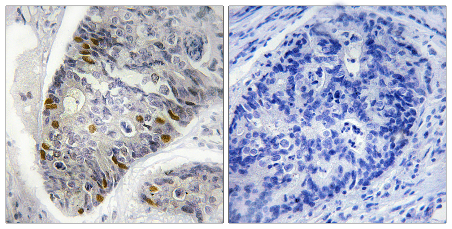
Main InformationTargetHistone H1Host SpeciesRabbitReactivityHuman, Mouse, MonkeyApplicationsWB, IHC, IF, ELISAMW31kD (Observed)Conjugate/ModificationPhosphoDetailed InformationRecommended Dilution RatioWB 1:500-1:2000; IHC 1:100-1:300; IF 1:200-1:1000; ELISA 1:10000; Not yet tested in other applications.FormulationLiquid in PBS containing 50% glycerol, 0.5% BSA and 0.02% sodium azide.SpecificityPhospho-Histone H1 (T17) Polyclonal Antibody detects endogenous levels of Histone H1 protein only when phosphorylated at T17.PurificationThe antibody was affinity-purified from rabbit antiserum by affinity-chromatography using epitope-specific immunogen.Storage-15°C to -25°C/1 year(Do not lower than -25°C)Concentration1 mg/mlMW(Observed)31kDModificationPhosphoClonalityPolyclonalIsotypeIgGAntigen&Target InformationImmunogen:The antiserum was produced against synthesized peptide derived from human Histone H1 around the phosphorylation site of Thr17. AA range:1-50Specificity:Phospho-Histone H1 (T17) Polyclonal Antibody detects endogenous levels of Histone H1 protein only when phosphorylated at T17.Gene Name:HIST1H1BProtein Name:Histone H1.5Other Name:HIST1H1B ; H1F5 ; Histone H1.5 ; Histone H1a ; Histone H1b ; Histone H1s-3 ; HIST1H1D ; H1F3 ; Histone H1.3 ; Histone H1c ; Histone H1s-2 ; HIST1H1E ; H1F4 ; Histone H1.4 ; Histone H1b ; Histone H1s-4Database Link:Background:Histones are basic nuclear proteins responsible for nucleosome structure of the chromosomal fiber in eukaryotes. Two molecules of each of the four core histones (H2A, H2B, H3, and H4) form an octamer, around which approximately 146 bp of DNA is wrapped in repeating units, called nucleosomes. The linker histone, H1, interacts with linker DNA between nucleosomes and functions in the compaction of chromatin into higher order structures. This gene is intronless and encodes a replication-dependent histone that is a member of the histone H1 family. Transcripts from this gene lack polyA tails but instead contain a palindromic termination element. This gene is found in the small histone gene cluster on chromosome 6p22-p21.3. [provided by RefSeq, Aug 2015],Function:Function:Histones H1 are necessary for the condensation of nucleosome chains into higher order structures.,similarity:Belongs to the histone H1/H5 family.,Cellular Localization:Nucleus. Chromosome. According to PubMed:15911621 more commonly found in heterochromatin. According to PubMed:10997781 associates with actively transcribed chromatin and not heterochromatin.Tissue Expression:Ubiquitous. Expressed in the majority of the cell lines tested and in testis.
商品信息已成功复制,启研竭诚为您服务
