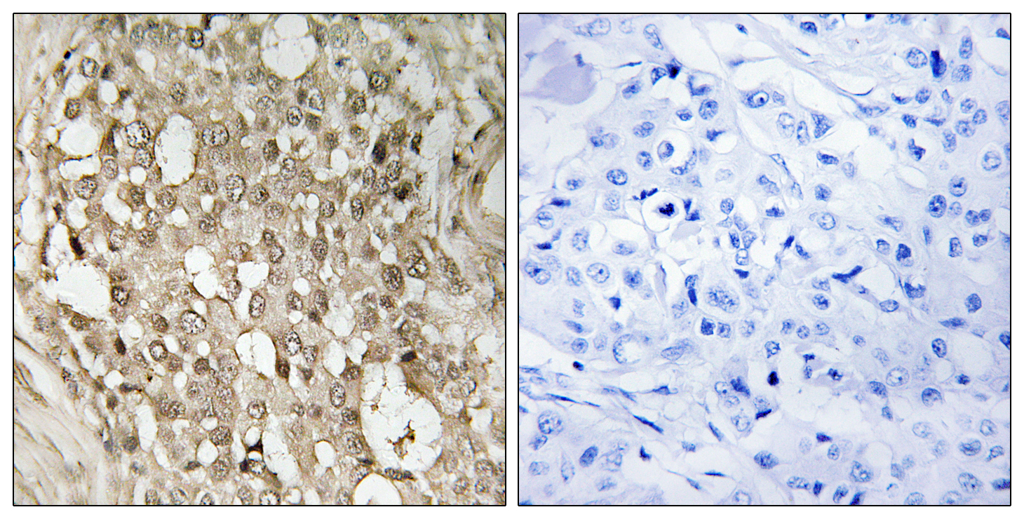
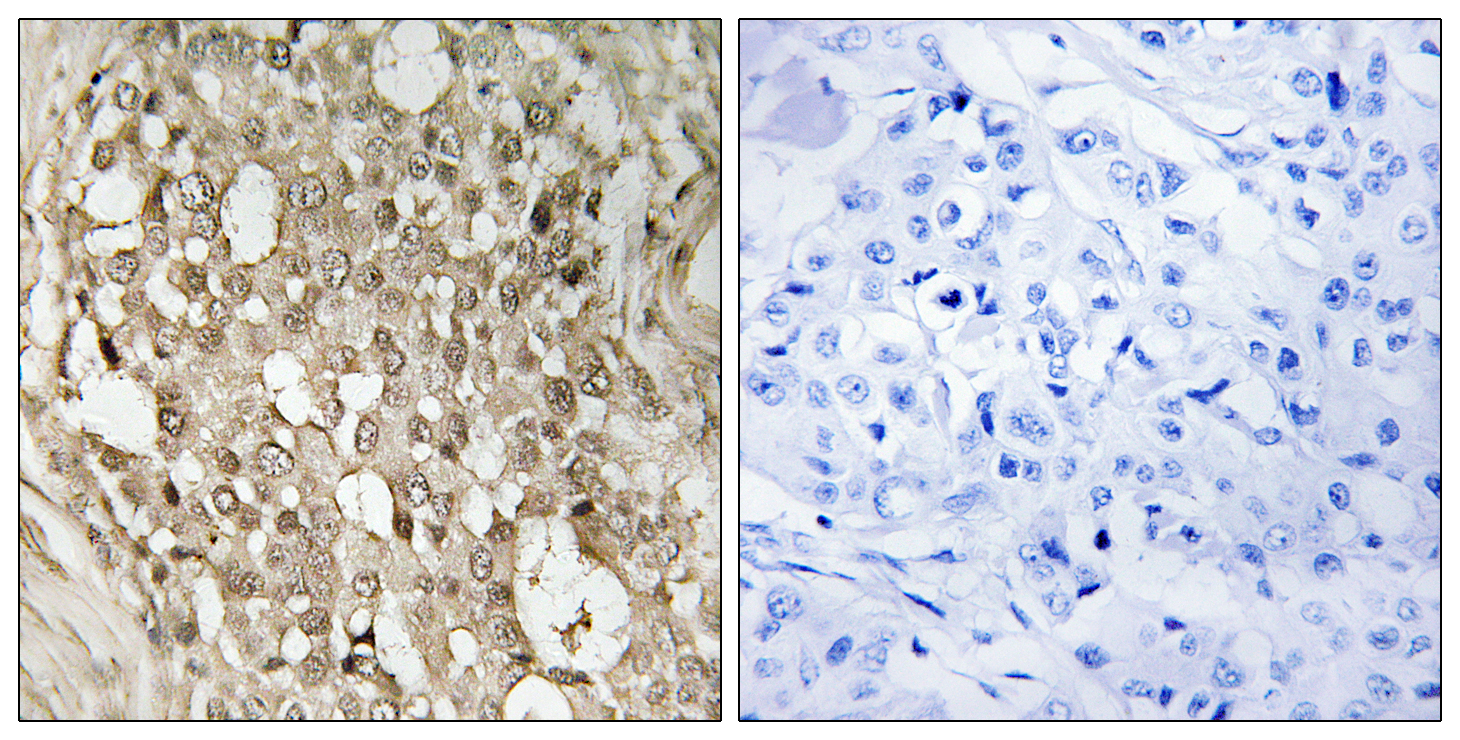
Main InformationTargetNFkB p65Host SpeciesRabbitReactivityHuman, MouseApplicationsWB, IHC, IF, ELISAMW65kD (Observed)Conjugate/ModificationPhosphoDetailed InformationRecommended Dilution RatioWB 1:500-1:2000; IHC 1:100-1:300; ELISA 1:10000; IF 1:50-200FormulationLiquid in PBS containing 50% glycerol, 0.5% BSA and 0.02% sodium azide.SpecificityPhospho-NFκB-p65 (S529) Polyclonal Antibody detects endogenous levels of NFκB-p65 protein only when phosphorylated at S529.PurificationThe antibody was affinity-purified from rabbit antiserum by affinity-chromatography using epitope-specific immunogen.Storage-15°C to -25°C/1 year(Do not lower than -25°C)Concentration1 mg/mlMW(Observed)65kDModificationPhosphoClonalityPolyclonalIsotypeIgGAntigen&Target InformationImmunogen:The antiserum was produced against synthesized peptide derived from human NF-kappaB p65 around the phosphorylation site of Ser529. AA range:496-545Specificity:Phospho-NFκB-p65 (S529) Polyclonal Antibody detects endogenous levels of NFκB-p65 protein only when phosphorylated at S529.Gene Name:RELAProtein Name:Transcription factor p65Other Name:RELA ; NFKB3 ; Transcription factor p65 ; Nuclear factor NF-kappa-B p65 subunit ; Nuclear factor of kappa light polypeptide gene enhancer in B-cells 3Background:NF-kappa-B is a ubiquitous transcription factor involved in several biological processes. It is held in the cytoplasm in an inactive state by specific inhibitors. Upon degradation of the inhibitor, NF-kappa-B moves to the nucleus and activates transcription of specific genes. NF-kappa-B is composed of NFKB1 or NFKB2 bound to either REL, RELA, or RELB. The most abundant form of NF-kappa-B is NFKB1 complexed with the product of this gene, RELA. Four transcript variants encoding different isoforms have been found for this gene. [provided by RefSeq, Sep 2011],Function:Function:NF-kappa-B is a pleiotropic transcription factor which is present in almost all cell types and is involved in many biological processed such as inflammation, immunity, differentiation, cell growth, tumorigenesis and apoptosis. NF-kappa-B is a homo- or heterodimeric complex formed by the Rel-like domain-containing proteins RELA/p65, RELB, NFKB1/p105, NFKB1/p50, REL and NFKB2/p52 and the heterodimeric p65-p50 complex appears to be most abundant one. The dimers bind at kappa-B sites in the DNA of their target genes and the individual dimers have distinct preferences for different kappa-B sites that they can bind with distinguishable affinity and specificity. Different dimer combinations act as transcriptional activators or repressors, respectively. NF-kappa-B is controlled by various mechanisms of post-translational modification and subcellular compartmentalization as well as by interactions with other cofactors or corepressors. NF-kappa-B complexes are held in the cytoplasm in an inactive state complexed with members of the NF-kappa-B inhibitor (I-kappa-B) family. In a conventional activation pathway, I-kappa-B is phosphorylated by I-kappa-B kinases (IKKs) in response to different activators, subsequently degraded thus liberating the active NF-kappa-B complex which translocates to the nucleus. NF-kappa-B heterodimeric p65-p50 and p65-c-Rel complexes are transcriptional activators. The NF-kappa-B p65-p65 complex appears to be involved in invasin-mediated activation of IL-8 expression. The inhibitory effect of I-kappa-B upon NF-kappa-B the cytoplasm is exerted primarily through the interaction with p65. p65 shows a weak DNA-binding site which could contribute directly to DNA binding in the NF-kappa-B complex.,PTM:Phosphorylation on 'Ser-536' stimulates acetylation on 'Lys-310' and interaction with CBP; the phosphorylated and acetylated forms show enhanced transcriptional activity.,PTM:Reversibly acetylated; the acetylation seems to be mediated by CBP, the deacetylation by HDAC3. Acetylation at 'Lys-122' enhances DNA binding and impairs association with NFKBIA. Acetylation at 'Lys-310' is required for full transcriptional activity in the absence of effects on DNA binding and NFKBIA association. Acetylation can also lower DNA-binding and results in nuclear export.,PTM:Ubiquitinated, leading to its proteosomal degradation. Degradation is required for termination of NF-kappa-B response.,similarity:Contains 1 RHD (Rel-like) domain.,subcellular location:Nuclear, but also found in the cytoplasm in an inactive form complexed to an inhibitor (I-kappa-B).,subunit:Component of the NF-kappa-B p65-p50 complex. Component of the NF-kappa-B p65-c-Rel complex. Homodimer; component of the NF-kappa-B p65-p65 complex. Component of the NF-kappa-B p65-p52 complex. May interact with ETHE1. Binds AES and TLE1. Interacts with TP53BP2. Binds to and is phosphorylated by the activated form of either RPS6KA4 or RPS6KA5. Interacts with ING4 and this interaction may be indirect. Interacts with CARM1, USP48 and UNC5CL. Interacts with IRAK1BP1 (By similarity).Interacts with NFKBID (By similarity). Interacts with NFKBIA. Interacts with GSK3B. Interacts with NFKBIB (By similarity). Interacts with NFKBIE. Interacts with NFKBIZ (By similarity). Part of a 70-90 kDa complex at least consisting of CHUK, IKBKB, NFKBIA, RELA, IKBKAP and MAP3K14. Interacts with HDAC3; HDAC3 mediates the deacetylation of RELA. Interacts with HDAC1; the interaction requires non-phosphorylated RELA. Interacts with CBP; the interaction requires phosphorylated RELA. Interacts (phosphorylated at 'Thr-254') with PIN1; the interaction inhibits p65 binding to NFKBIA. Interacts with SOCS1. Interacts with UXT. Interacts with MTDH. Interacts with human respiratory syncytial virus (HRSV) protein M2-1.,Cellular Localization:Nucleus . Cytoplasm . Nuclear, but also found in the cytoplasm in an inactive form complexed to an inhibitor (I-kappa-B) (PubMed:1493333). Colocalized with DDX1 in the nucleus upon TNF-alpha induction (PubMed:19058135). Colocalizes with GFI1 in the nucleus after LPS stimulation (PubMed:20547752). Translocation to the nucleus is impaired in L.monocytogenes infection (PubMed:20855622). .Tissue Expression:Bone,Colon,Pancreas,Placenta,Research Areas:>>Antifolate resistance ; >>MAPK signaling pathway ; >>Ras signaling pathway ; >>cAMP signaling pathway ; >>Chemokine signaling pathway ; >>NF-kappa B signaling pathway ; >>HIF-1 signaling pathway ; >>Sphingolipid signaling pathway ; >>Mitophagy - animal ; >>PI3K-Akt signaling pathway ; >>Apoptosis ; >>Longevity regulating pathway ; >>Cellular senescence ; >>Osteoclast differentiation ; >>Neutrophil extracellular trap formation ; >>Toll-like receptor signaling pathway ; >>NOD-like receptor signaling pathway ; >>RIG-I-like receptor signaling pathway ; >>Cytosolic DNA-sensing pathway ; >>C-type lectin receptor signaling pathway ; >>IL-17 signaling pathway ; >>Th1 and Th2 cell differentiation ; >>Th17 cell differentiation ; >>T cell receptor signaling pathway ; >>B cell receptor signaling pathway ; >>TNF signaling pathway ; >>Neurotrophin signaling pathway ; >>Prolactin signaling pathway ; >>Adipocytokine signaling pathway ; >>Relaxin signaling pathway ; >>Insulin resistance ; >>Non-alcoholic fatty liver disease ; >>AGE-RAGE signaling pathway in diabetic complications ; >>Alcoholic liver disease ; >>Alzheimer disease ; >>Pathways of neurodegeneration - multiple diseases ; >>Cocaine addiction ; >>Epithelial cell signaling in Helicobacter pylori infection ; >>Pathogenic Escherichia coli infection ; >>Shigellosis ; >>Salmonella infection ; >>Pertussis ; >>Legionellosis ; >>Yersinia infection ; >>Leishmaniasis ; >>Chagas disease ; >>Toxoplasmosis ; >>Amoebiasis ; >>Tuberculosis ; >>Hepatitis C ; >>Hepatitis B ; >>Measles ; >>Human cytomegalovirus infection ; >>Influenza A ; >>Human papillomavirus infection ; >>Human T-cell leukemia virus 1 infection ; >>Kaposi sarcoma-associated herpesvirus infection ; >>Herpes simplex virus 1 infection ; >>Epstein-Barr virus infection ; >>Human immunodeficiency virus 1 infection ; >>Coronavirus disease - COVID-19 ; >>Pathways in cancer ; >>Transcriptional misregulation in cancer ; >>Viral carcinogenesis ; >>Chemical carcinogenesis - receptor activation ; >>Chemical carcinogenesis - reactive oxygen species ; >>Pancreatic cancer ; >>Prostate cancer ; >>Chronic myeloid leukemia ; >>Acute myeloid leukemia ; >>Small cell lung cancer ; >>PD-L1 expression and PD-1 checkpoint pathway in cancer ; >>Inflammatory bowel disease ; >>Diabetic cardiomyopathy ; >>Lipid and atherosclerosis ; >>Fluid shear stress and atherosclerosis
商品信息已成功复制,启研竭诚为您服务
