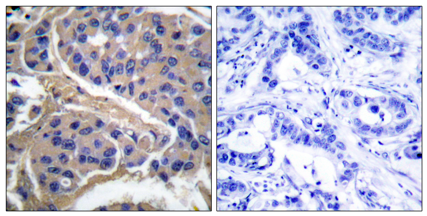
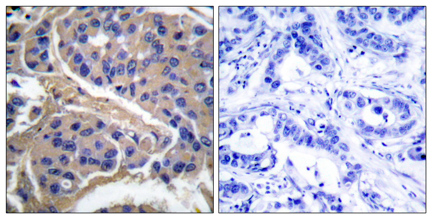
Main InformationTargetIRS-1Host SpeciesRabbitReactivityHuman, Mouse, Rat, MonkeyApplicationsWB, IHC, IF, ELISAMW170kD (Observed)Conjugate/ModificationPhosphoDetailed InformationRecommended Dilution RatioWB 1:500-1:2000; IHC 1:100-1:300; ELISA 1:5000; IF 1:50-200FormulationLiquid in PBS containing 50% glycerol, 0.5% BSA and 0.02% sodium azide.SpecificityPhospho-IRS-1 (S307) Polyclonal Antibody detects endogenous levels of IRS-1 protein only when phosphorylated at S307.PurificationThe antibody was affinity-purified from rabbit antiserum by affinity-chromatography using epitope-specific immunogen.Storage-15°C to -25°C/1 year(Do not lower than -25°C)Concentration1 mg/mlMW(Observed)170kDModificationPhosphoClonalityPolyclonalIsotypeIgGAntigen&Target InformationImmunogen:Synthesized phospho-peptide around the phosphorylation site of human IRS-1 (phospho Ser307)Specificity:Phospho-IRS-1 (S307) Polyclonal Antibody detects endogenous levels of IRS-1 protein only when phosphorylated at S307.Gene Name:IRS1Protein Name:Insulin receptor substrate 1Other Name:IRS1 ; Insulin receptor substrate 1 ; IRS-1Database Link:Background:This gene encodes a protein which is phosphorylated by insulin receptor tyrosine kinase. Mutations in this gene are associated with type II diabetes and susceptibility to insulin resistance. [provided by RefSeq, Nov 2009],Function:Disease:Polymorphisms in IRS1 may be involved in the etiology of non-insulin-dependent diabetes mellitus (NIDDM) [MIM:125853].,Function:May mediate the control of various cellular processes by insulin. When phosphorylated by the insulin receptor binds specifically to various cellular proteins containing SH2 domains such as phosphatidylinositol 3-kinase p85 subunit or GRB2. Activates phosphatidylinositol 3-kinase when bound to the regulatory p85 subunit.,polymorphism:The Arg-971 polymorphism impairs the ability of insulin to stimulate glucose transport, glucose transporter translocation, and glycogen synthesis by affecting the PI3K/AKT1/GSK3 signaling pathway. The polymorphism at Arg-971 may contribute to the in vivo insulin resistance observed in carriers of this variant. Arg-971 could contribute to the risk for atherosclerotic cardiovascular diseases associated with non-insulin-dependent diabetes mellitus (NIDDM) by producing a cluster of insulin resistance-related metabolic abnormalities. In insulin-stimulated human endothelial cells from carriers of the Arg-971 polymorphism, genetic impairment of the IRS1/PI3K/PDPK1/AKT1 insulin signaling cascade results in impaired insulin-stimulated nitric oxide (NO) release and suggested that this may be a mechanism through which the Arg-971 polymorphism contributes to the genetic predisposition to develop endothelial dysfunction and cardiovascular disease. The Arg-971 polymorphism not only reduces phosphorylation of the substrate but allows IRS1 to act as an inhibitor of PI3K, producing global insulin resistance.,PTM:Phosphorylation of Tyr-896 is required for GRB2-binding.,PTM:Serine phosphorylation of IRS1 is a mechanism for insulin resistance. Ser-312 phosphorylation inhibits insulin action through disruption of IRS1 interaction with the insulin receptor.,similarity:Contains 1 IRS-type PTB domain.,similarity:Contains 1 PH domain.,subunit:Interacts with the NPXY motif of tyrosine-phosphorylated IGF1R and INSR via the PTB domain. Binds to phosphatidylinositol 3-kinase p85 subunit via the phosphorylated YXXM motifs. Binds ROCK1. Binds to UBTF and PIK3CA in nuclear extracts (By similarity). Interacts with SOCS7.,Cellular Localization:nucleus,cytoplasm,cytosol,plasma membrane,insulin receptor complex,caveola,intracellular membrane-bounded organelle,Tissue Expression:Epithelium,Eye,Skeletal muscle,Research Areas:>>cGMP-PKG signaling pathway ; >>FoxO signaling pathway ; >>Autophagy - animal ; >>mTOR signaling pathway ; >>PI3K-Akt signaling pathway ; >>AMPK signaling pathway ; >>Longevity regulating pathway ; >>Longevity regulating pathway - multiple species ; >>Neurotrophin signaling pathway ; >>Insulin signaling pathway ; >>Adipocytokine signaling pathway ; >>Regulation of lipolysis in adipocytes ; >>Type II diabetes mellitus ; >>Insulin resistance ; >>Non-alcoholic fatty liver disease ; >>Growth hormone synthesis, secretion and action ; >>Aldosterone-regulated sodium reabsorption ; >>Alzheimer disease ; >>MicroRNAs in cancer ; >>Diabetic cardiomyopathy
商品信息已成功复制,启研竭诚为您服务
