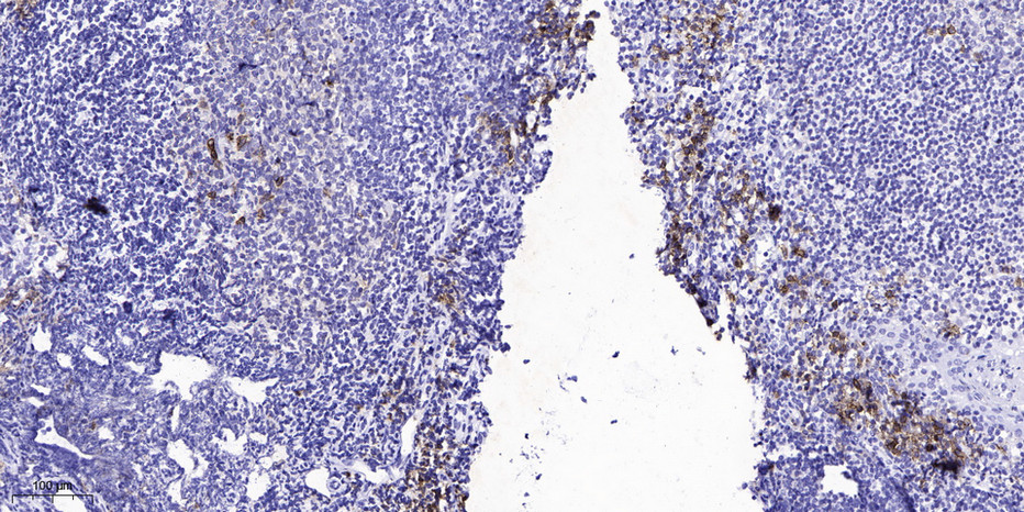
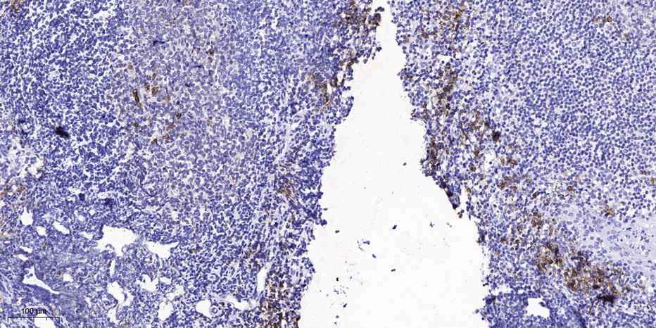
Main InformationTargetHER2Host SpeciesRabbitReactivityHuman, Mouse, RatApplicationsIHC, IF, WBMW180kD (Observed)Conjugate/ModificationPhosphoDetailed InformationRecommended Dilution RatioIHC 1:50-200; WB 1:500-2000; IF 1:50-200FormulationLiquid in PBS containing 50% glycerol, 0.5% BSA and 0.02% sodium azide.SpecificityThis antibody detects endogenous phospho levels of HER2 (Phospho-Tyr1139) at Human:Y1139, Mouse:Y1140, Rat:Y1141PurificationThe antibody was affinity-purified from rabbit serum by affinity-chromatography using specific immunogen.Storage-15°C to -25°C/1 year(Do not lower than -25°C)Concentration1 mg/mlMW(Observed)180kDModificationPhosphoClonalityPolyclonalIsotypeIgGAntigen&Target InformationImmunogen:Synthesized peptide derived from human HER2 (Phospho-Tyr1139)Specificity:This antibody detects endogenous phospho levels of HER2 (Phospho-Tyr1139) at Human:Y1139, Mouse:Y1140, Rat:Y1141Gene Name:ERBB2 HER2 MLN19 NEU NGLProtein Name:HER2 (Phospho-Tyr1139)Other Name:Receptor tyrosine-protein kinase erbB-2 ; Metastatic lymph node gene 19 protein ; MLN 19 ; Proto-oncogene Neu ; Proto-oncogene c-ErbB-2 ; Tyrosine kinase-type cell surface receptor HER2 ; p185erbB2 ; CD antigen CD340 ;Background:This gene encodes a member of the epidermal growth factor (EGF) receptor family of receptor tyrosine kinases. This protein has no ligand binding domain of its own and therefore cannot bind growth factors. However, it does bind tightly to other ligand-bound EGF receptor family members to form a heterodimer, stabilizing ligand binding and enhancing kinase-mediated activation of downstream signalling pathways, such as those involving mitogen-activated protein kinase and phosphatidylinositol-3 kinase. Allelic variations at amino acid positions 654 and 655 of isoform a (positions 624 and 625 of isoform b) have been reported, with the most common allele, Ile654/Ile655, shown here. Amplification and/or overexpression of this gene has been reported in numerous cancers, including breast and ovarian tumors. Alternative splicing results in several additional transcript variants, some encoding dFunction:Catalytic activity:ATP + a [protein]-L-tyrosine = ADP + a [protein]-L-tyrosine phosphate.,Disease:Defects in ERBB2 are associated with familial glioma of brain [MIM:137800]; also called glioblastoma multiforme. Gliomas are central nervous system neoplasms derived from glial cells and comprise astrocytomas, glioblastoma multiforme, oligodendrogliomas, and ependymomas.,Disease:Defects in ERBB2 are associated with gastric cancer [MIM:137215]; also known as hereditary familial diffuse gastric cancer (HDGC).,Disease:Defects in ERBB2 are associated with lung cancer [MIM:211980]; also called adenocarcinoma of lung.,Disease:Defects in ERBB2 are associated with ovarian cancer [MIM:167000]. Ovarian cancer is the leading cause of death from gynecologic malignancy. It is characterized by advanced presentation with loco-regional dissemination in the peritoneal cavity and the rare incidence of visceral metastases. These typical features relate to the biology of the disease, which is a principal determinant of outcome.,Function:Essential component of a neuregulin-receptor complex, although neuregulins do not interact with it alone. GP30 is a potential ligand for this receptor. Not activated by EGF, TGF-alpha and amphiregulin.,online information:ERBB2 entry,polymorphism:There are fours alleles due to the variations in positions 654 and 655. Allele B1 (Ile-654/Ile-655) has a frequency of 0.782; allele B2 (Ile-654/Val-655) has a frequency of 0.206; allele B3 (Val-654/Val-655) has a frequency of 0.012.,PTM:Ligand-binding increases phosphorylation on tyrosine residues.,similarity:Belongs to the protein kinase superfamily. Tyr protein kinase family. EGF receptor subfamily.,similarity:Contains 1 protein kinase domain.,subunit:Heterodimer with each of the other ERBB receptors (Potential). Interacts with PRKCABP and PLXNB1. Part of a complex with EGFR and either PIK3C2A or PIK3C2B. May interact with PIK3C2B when phosphorylated on Tyr-1196. Interacts with MEMO when phosphorylated on Tyr-1248. Interacts with MUC1. Stimulation by heregulin (HRG) in breast cancer cell lines induces binding of MUC1 with gamma-catenin.,Cellular Localization:[Isoform 1]: Cell membrane ; Single-pass type I membrane protein. Early endosome . Cytoplasm, perinuclear region. Nucleus. Translocation to the nucleus requires endocytosis, probably endosomal sorting and is mediated by importin beta-1/KPNB1. Also detected in VPS35-positive endosome-to-TGN retrograde vesicles (PubMed:31138794). .; [Isoform 2]: Cytoplasm. Nucleus.; [Isoform 3]: Cytoplasm. Nucleus.Tissue Expression:Expressed in a variety of tumor tissues including primary breast tumors and tumors from small bowel, esophagus, kidney and mouth.Research Areas:>>EGFR tyrosine kinase inhibitor resistance ; >>Endocrine resistance ; >>Platinum drug resistance ; >>MAPK signaling pathway ; >>ErbB signaling pathway ; >>Calcium signaling pathway ; >>HIF-1 signaling pathway ; >>PI3K-Akt signaling pathway ; >>Focal adhesion ; >>Adherens junction ; >>Tight junction ; >>Pathways in cancer ; >>Proteoglycans in cancer ; >>MicroRNAs in cancer ; >>Pancreatic cancer ; >>Endometrial cancer ; >>Prostate cancer ; >>Bladder cancer ; >>Non-small cell lung cancer ; >>Breast cancer ; >>Gastric cancer ; >>Central carbon metabolism in cancer
商品信息已成功复制,启研竭诚为您服务
