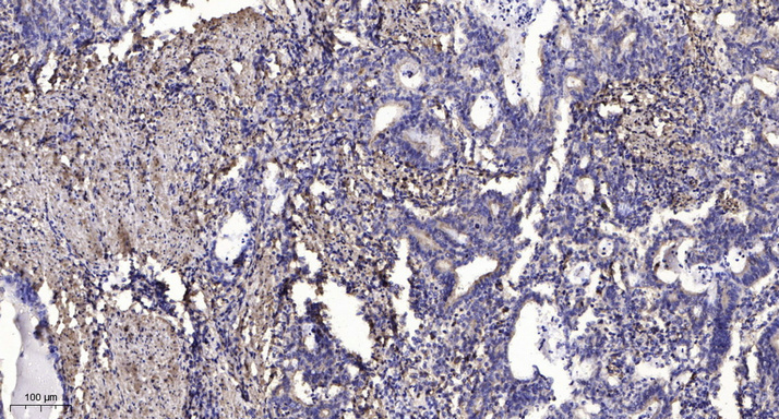
Main InformationTargetIGF2RHost SpeciesRabbitReactivityHuman, Mouse, RatApplicationsIHC, IF, WBMW300kD (Observed)Conjugate/ModificationPhosphoDetailed InformationRecommended Dilution RatioIHC 1:50-200; WB 1:500-2000; IF 1:50-200FormulationLiquid in PBS containing 50% glycerol, 0.5% BSA and 0.02% sodium azide.SpecificityThis antibody detects endogenous phospho levels of IGF2R (Phospho-Ser2484) at Human:S2484, Mouse:S2476, Rat:S2472PurificationThe antibody was affinity-purified from rabbit serum by affinity-chromatography using specific immunogen.Storage-15°C to -25°C/1 year(Do not lower than -25°C)Concentration1 mg/mlMW(Observed)300kDModificationPhosphoClonalityPolyclonalIsotypeIgGAntigen&Target InformationImmunogen:Synthesized peptide derived from human IGF2R (Phospho-Ser2484)Specificity:This antibody detects endogenous phospho levels of IGF2R (Phospho-Ser2484) at Human:S2484, Mouse:S2476, Rat:S2472Gene Name:IGF2R MPRIProtein Name:IGF2R (Phospho-Ser2484)Other Name:Cation-independent mannose-6-phosphate receptor ; CI Man-6-P receptor ; CI-MPR ; M6PR ; 300 kDa mannose 6-phosphate receptor ; MPR 300 ; Insulin-like growth factor 2 receptor ; Insulin-like growth factor II receptor ; IGF-II receptor ; M6P/IGF2 receptor ; M6P/IGF2R ; CD antigen CD222 ;Background:This gene encodes a receptor for both insulin-like growth factor 2 and mannose 6-phosphate. The binding sites for each ligand are located on different segments of the protein. This receptor has various functions, including in the intracellular trafficking of lysosomal enzymes, the activation of transforming growth factor beta, and the degradation of insulin-like growth factor 2. Mutation or loss of heterozygosity of this gene has been association with risk of hepatocellular carcinoma. The orthologous mouse gene is imprinted and shows exclusive expression from the maternal allele; however, imprinting of the human gene may be polymorphic, as only a minority of individuals showed biased expression from the maternal allele (PMID:8267611). [provided by RefSeq, Nov 2015],Function:Domain:Contains 15 repeating units of approximately 147 AA. The most highly conserved region within the repeat consists of a stretch of 13 AA that contains cysteines at both ends.,Function:Transport of phosphorylated lysosomal enzymes from the Golgi complex and the cell surface to lysosomes. Lysosomal enzymes bearing phosphomannosyl residues bind specifically to mannose-6-phosphate receptors in the Golgi apparatus and the resulting receptor-ligand complex is transported to an acidic prelyosomal compartment where the low pH mediates the dissociation of the complex. This receptor also binds IGF2.,similarity:Belongs to the MRL1/IGF2R family.,similarity:Contains 1 fibronectin type-II domain.,subunit:Binds GGA1, GGA2 and GGA3.,Cellular Localization:Golgi apparatus membrane ; Single-pass type I membrane protein . Endosome membrane ; Single-pass type I membrane protein . Mainly localized in the Golgi at steady state and not detectable in lysosome (PubMed:18817523). Colocalized with DPP4 in internalized cytoplasmic vesicles adjacent to the cell surface (PubMed:10900005). .Tissue Expression:Brain,Epithelium,Liver,Research Areas:>>Lysosome ; >>Endocytosis
商品信息已成功复制,启研竭诚为您服务
