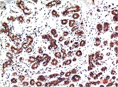
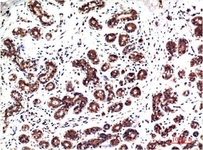
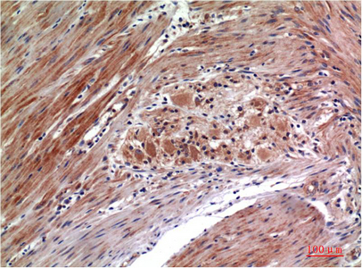
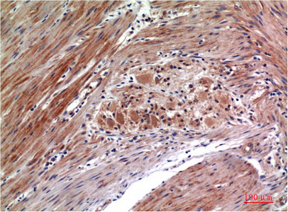
Main InformationTargetERK 1/2Host SpeciesMouseReactivityHuman, Rat, MouseApplicationsIHC, IFMW44,42kD (Observed)Conjugate/ModificationPhosphoDetailed InformationRecommended Dilution RatioIHC 1:100-200; IF 1:50-200FormulationLiquid in PBS containing 50% glycerol, 0.5% BSA and 0.02% sodium azide.SpecificityPhospho-ERK 1/2 (Y222/205)protein detects endogenous levels of MAPK1/MAPK3PurificationThe antibody was affinity-purified from mouse ascites by affinity-chromatography using specific immunogen.Storage-15°C to -25°C/1 year(Do not lower than -25°C)Concentration1 mg/mlMW(Observed)44,42kDModificationPhosphoClonalityMonoclonalClone Number4G3Antigen&Target InformationImmunogen:Synthetic Peptide of Phospho-ERK 1/2 (Y222/205) at AA range of 140-220Specificity:Phospho-ERK 1/2 (Y222/205)protein detects endogenous levels of MAPK1/MAPK3Gene Name:MAPK1/MAPK3Protein Name:MAPK1/MAPK3Other Name:MAPK1/MAPK3Background:The protein encoded by this gene is a member of the MAP kinase family. MAP kinases, also known as extracellular signal-regulated kinases (ERKs), act in a signaling cascade that regulates various cellular processes such as proliferation, differentiation, and cell cycle progression in response to a variety of extracellular signals. This kinase is activated by upstream kinases, resulting in its translocation to the nucleus where it phosphorylates nuclear targets. Alternatively spliced transcript variants encoding different protein isoforms have been described. [provided by RefSeq, Jul 2008],Function:Catalytic activity:ATP + a protein = ADP + a phosphoprotein.,cofactor:Magnesium.,Domain:The TXY motif contains the threonine and tyrosine residues whose phosphorylation activates the MAP kinases.,enzyme regulation:Activated by tyrosine phosphorylation in response to insulin and NGF.,Function:Involved in both the initiation and regulation of meiosis, mitosis, and postmitotic functions in differentiated cells by phosphorylating a number of transcription factors such as ELK-1. Phosphorylates EIF4EBP1; required for initiation of translation. Phosphorylates microtubule-associated protein 2 (MAP2). Phosphorylates SPZ1 (By similarity). Phosphorylates heat shock factor protein 4 (HSF4).,PTM:Dually phosphorylated on Thr-202 and Tyr-204, which activates the enzyme.,similarity:Belongs to the protein kinase superfamily.,similarity:Belongs to the protein kinase superfamily. CMGC Ser/Thr protein kinase family. MAP kinase subfamily.,similarity:Contains 1 protein kinase domain.,subunit:Interacts with MORG1 (By similarity). Binds to HIV-1 Nef. This interaction inhibits its kinase activity. Interacts with HSF4 and NISCH.,Cellular Localization:Cytoplasm . Nucleus. Membrane, caveola . Cell junction, focal adhesion . Autophosphorylation at Thr-207 promotes nuclear localization (PubMed:19060905). PEA15-binding redirects the biological outcome of MAPK3 kinase-signaling by sequestering MAPK3 into the cytoplasm (By similarity). .Tissue Expression:Epithelium,Eye,Hepatoma,Human cervix,Lymph,Research Areas:>>EGFR tyrosine kinase inhibitor resistance ; >>Endocrine resistance ; >>Platinum drug resistance ; >>MAPK signaling pathway ; >>ErbB signaling pathway ; >>Ras signaling pathway ; >>Rap1 signaling pathway ; >>cGMP-PKG signaling pathway ; >>cAMP signaling pathway ; >>Chemokine signaling pathway ; >>HIF-1 signaling pathway ; >>FoxO signaling pathway ; >>Sphingolipid signaling pathway ; >>Phospholipase D signaling pathway ; >>Oocyte meiosis ; >>Autophagy - animal ; >>mTOR signaling pathway ; >>PI3K-Akt signaling pathway ; >>Apoptosis ; >>Cellular senescence ; >>Adrenergic signaling in cardiomyocytes ; >>Vascular smooth muscle contraction ; >>TGF-beta signaling pathway ; >>Axon guidance ; >>VEGF signaling pathway ; >>Apelin signaling pathway ; >>Osteoclast differentiation ; >>Focal adhesion ; >>Adherens junction ; >>Gap junction ; >>Signaling pathways regulating pluripotency of stem cells ; >>Platelet activation ; >>Neutrophil extracellular trap formation ; >>Toll-like receptor signaling pathway ; >>NOD-like receptor signaling pathway ; >>C-type lectin receptor signaling pathway ; >>Natural killer cell mediated cytotoxicity ; >>IL-17 signaling pathway ; >>Th1 and Th2 cell differentiation ; >>Th17 cell differentiation ; >>T cell receptor signaling pathway ; >>B cell receptor signaling pathway ; >>Fc epsilon RI signaling pathway ; >>Fc gamma R-mediated phagocytosis ; >>TNF signaling pathway ; >>Circadian entrainment ; >>Long-term potentiation ; >>Neurotrophin signaling pathway ; >>Retrograde endocannabinoid signaling ; >>Glutamatergic synapse ; >>Cholinergic synapse ; >>Serotonergic synapse ; >>Long-term depression ; >>Regulation of actin cytoskeleton ; >>Insulin signaling pathway ; >>GnRH signaling pathway ; >>Progesterone-mediated oocyte maturation ; >>Estrogen signaling pathway ; >>Melanogenesis ; >>Prolactin signaling pathway ; >>Thyroid hormone signaling pathway ; >>Oxytocin signaling pathway ; >>Relaxin signaling pathway ; >>Parathyroid hormone synthesis, secretion and action ; >>GnRH secretion ; >>Type II diabetes mellitus ; >>AGE-RAGE signaling pathway in diabetic complications ; >>Cushing syndrome ; >>Growth hormone synthesis, secretion and action ; >>Aldosterone-regulated sodium reabsorption ; >>Alzheimer disease ; >>Prion disease ; >>Pathways of neurodegeneration - multiple diseases ; >>Alcoholism ; >>Pathogenic Escherichia coli infection ; >>Shigellosis ; >>Salmonella infection ; >>Pertussis ; >>Yersinia infection ; >>Leishmaniasis ; >>Chagas disease ; >>Toxoplasmosis ; >>Tuberculosis ; >>Hepatitis C ; >>Hepatitis B ; >>Human cytomegalovirus infection ; >>Influenza A ; >>Human papillomavirus infection ; >>Human T-cell leukemia virus 1 infection ; >>Kaposi sarcoma-associated herpesvirus infection ; >>Human immunodeficiency virus 1 infection ; >>Coronavirus disease - COVID-19 ; >>Pathways in cancer ; >>Viral carcinogenesis ; >>Proteoglycans in cancer ; >>MicroRNAs in cancer ; >>Chemical carcinogenesis - receptor activation ; >>Chemical carcinogenesis - reactive oxygen species ; >>Colorectal cancer ; >>Renal cell carcinoma ; >>Pancreatic cancer ; >>Endometrial cancer ; >>Glioma ; >>Prostate cancer ; >>Thyroid cancer ; >>Melanoma ; >>Bladder cancer ; >>Chronic myeloid leukemia ; >>Acute myeloid leukemia ; >>Non-small cell lung cancer ; >>Breast cancer ; >>Hepatocellular carcinoma ; >>Gastric cancer ; >>Central carbon metabolism in cancer ; >>Choline metabolism in cancer ; >>PD-L1 expression and PD-1 checkpoint pathway in cancer ; >>Lipid and atherosclerosis
商品信息已成功复制,启研竭诚为您服务
