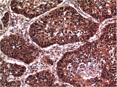
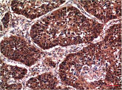
Main InformationTargetAKT1/2/3Host SpeciesMouseReactivityHumanApplicationsWB, IHC, IFMW56kD (Observed)Conjugate/ModificationPhosphoDetailed InformationRecommended Dilution RatioWB 1:1000-2000; IHC 1:100-200; IF 1:50-200FormulationLiquid in PBS containing 50% glycerol, 0.5% BSA and 0.02% sodium azide.SpecificityPhospho-Akt (S473) protein detects endogenous levels of AKT1PurificationThe antibody was affinity-purified from mouse ascites by affinity-chromatography using specific immunogen.Storage-15°C to -25°C/1 year(Do not lower than -25°C)Concentration1 mg/mlMW(Observed)56kDModificationPhosphoClonalityMonoclonalClone Number7F9Antigen&Target InformationImmunogen:Synthetic Peptide of Phospho-Akt (S473) at AA range of 410-490Specificity:Phospho-Akt (S473) protein detects endogenous levels of AKT1Gene Name:AKT1/AKT2/AKT3Protein Name:AKT1/AKT2/AKT3Other Name:AKT1Background:The serine-threonine protein kinase encoded by the AKT1 gene is catalytically inactive in serum-starved primary and immortalized fibroblasts. AKT1 and the related AKT2 are activated by platelet-derived growth factor. The activation is rapid and specific, and it is abrogated by mutations in the pleckstrin homology domain of AKT1. It was shown that the activation occurs through phosphatidylinositol 3-kinase. In the developing nervous system AKT is a critical mediator of growth factor-induced neuronal survival. Survival factors can suppress apoptosis in a transcription-independent manner by activating the serine/threonine kinase AKT1, which then phosphorylates and inactivates components of the apoptotic machinery. Mutations in this gene have been associated with the Proteus syndrome. Multiple alternatively spliced transcript variants have been found for this gene. [provided by RefSeq, Jul 2011]Function:Catalytic activity:ATP + a protein = ADP + a phosphoprotein.,Disease:Defects in AKT1 are associated with breast cancer (BC) [MIM:114480]. BC is an extremely common malignancy, affecting one in eight women during their lifetime.,Disease:Defects in AKT1 are associated with colorectal cancer (CRC) [MIM:114500].,Disease:Defects in AKT1 are associated with susceptibility to ovarian cancer [MIM:604370]; also called susceptibility to familial breast-ovarian cancer type 1 (BROVCA1).,Domain:Binding of the PH domain to the phosphatidylinositol 3-kinase alpha (PI(3)K) results in its targeting to the plasma membrane.,Domain:The AGC-kinase C-terminal mediates interaction with THEM4.,enzyme regulation:Three specific sites, one in the kinase domain (Thr-308) and the two other ones in the C-terminal regulatory region (Ser-473 and Tyr-474), need to be phosphorylated for its full activation.,Function:General protein kinase capable of phosphorylating several known proteins. Phosphorylates TBC1D4. Signals downstream of phosphatidylinositol 3-kinase (PI(3)K) to mediate the effects of various growth factors such as platelet-derived growth factor (PDGF), epidermal growth factor (EGF), insulin and insulin-like growth factor I (IGF-I). Plays a role in glucose transport by mediating insulin-induced translocation of the GLUT4 glucose transporter to the cell surface. Mediates the antiapoptotic effects of IGF-I. Mediates insulin-stimulated protein synthesis, partly by playing a role in both insulin-induced phosphorylation of 4E-BP1 and in insulin-induced activation of p70 S6 kinase. Promotes glycogen synthesis by mediating the insulin-induced activation of glycogen synthase.,PTM:Phosphorylation on Thr-308, Ser-473 and Tyr-474 is required for full activity. Ser-473 phosphorylation by the Rictor-mTor complex favors Thr-308 phosphorylation by PDPK1. Ser-473 phosphorylation is enhanced by interaction with AGAP2 isoform 2 (PIKE-A). Ser-473 phosphorylation is enhanced in focal cortical dysplasias with Taylor-type balloon cells.,similarity:Belongs to the protein kinase superfamily.,similarity:Belongs to the protein kinase superfamily. AGC Ser/Thr protein kinase family. RAC subfamily.,similarity:Contains 1 AGC-kinase C-terminal domain.,similarity:Contains 1 PH domain.,similarity:Contains 1 protein kinase domain.,subcellular location:Nucleus after activation by integrin-linked protein kinase 1 (ILK1). Nuclear translocation is enhanced by interaction with TCL1A.,subunit:Interacts with AGAP2 isoform 2 (PIKE-A) in the presence of guanine nucleotides. The C-terminus interacts with CCDC88A/GRDN and THEM4. Interacts with AKTIP. Interacts (via PH domain) with MTCP1, TCL1A AND TCL1B. Interacts with CDKN1B; the interaction phosphorylates CDKN1B promoting 14-3-3 binding and cell-cycle progression.,tissue specificity:In all human cell types so far analyzed.,Cellular Localization:Cytoplasm . Nucleus . Cell membrane . Nucleus after activation by integrin-linked protein kinase 1 (ILK1). Nuclear translocation is enhanced by interaction with TCL1A. Phosphorylation on Tyr-176 by TNK2 results in its localization to the cell membrane where it is targeted for further phosphorylations on Thr-308 and Ser-473 leading to its activation and the activated form translocates to the nucleus. Colocalizes with WDFY2 in intracellular vesicles (PubMed:16792529). .Tissue Expression:Expressed in prostate cancer and levels increase from the normal to the malignant state (at protein level). Expressed in all human cell types so far analyzed. The Tyr-176 phosphorylated form shows a significant increase in expression in breast cancers during the progressive stages i.e. normal to hyperplasia (ADH), ductal carcinoma in situ (DCIS), invasive ductal carcinoma (IDC) and lymph node metastatic (LNMM) stages.Research Areas:>>EGFR tyrosine kinase inhibitor resistance ; >>Endocrine resistance ; >>Platinum drug resistance ; >>MAPK signaling pathway ; >>ErbB signaling pathway ; >>Ras signaling pathway ; >>Rap1 signaling pathway ; >>cGMP-PKG signaling pathway ; >>cAMP signaling pathway ; >>Chemokine signaling pathway ; >>HIF-1 signaling pathway ; >>FoxO signaling pathway ; >>Sphingolipid signaling pathway ; >>Phospholipase D signaling pathway ; >>Autophagy - animal ; >>mTOR signaling pathway ; >>PI3K-Akt signaling pathway ; >>AMPK signaling pathway ; >>Apoptosis ; >>Longevity regulating pathway ; >>Longevity regulating pathway - multiple species ; >>Cellular senescence ; >>Adrenergic signaling in cardiomyocytes ; >>VEGF signaling pathway ; >>Apelin signaling pathway ; >>Osteoclast differentiation ; >>Focal adhesion ; >>Signaling pathways regulating pluripotency of stem cells ; >>Platelet activation ; >>Neutrophil extracellular trap formation ; >>Toll-like receptor signaling pathway ; >>C-type lectin receptor signaling pathway ; >>JAK-STAT signaling pathway ; >>T cell receptor signaling pathway ; >>B cell receptor signaling pathway ; >>Fc epsilon RI signaling pathway ; >>Fc gamma R-mediated phagocytosis ; >>TNF signaling pathway ; >>Neurotrophin signaling pathway ; >>Cholinergic synapse ; >>Dopaminergic synapse ; >>Insulin signaling pathway ; >>Progesterone-mediated oocyte maturation ; >>Estrogen signaling pathway ; >>Prolactin signaling pathway ; >>Thyroid hormone signaling pathway ; >>Adipocytokine signaling pathway ; >>Glucagon signaling pathway ; >>Regulation of lipolysis in adipocytes ; >>Relaxin signaling pathway ; >>GnRH secretion ; >>Insulin resistance ; >>Non-alcoholic fatty liver disease ; >>AGE-RAGE signaling pathway in diabetic complications ; >>Growth hormone synthesis, secretion and action ; >>Alcoholic liver disease ; >>Carbohydrate digestion and absorption ; >>Alzheimer disease ; >>Spinocerebellar ataxia ; >>Shigellosis ; >>Salmonella infection ; >>Yersinia infection ; >>Chagas disease ; >>Toxoplasmosis ; >>Tuberculosis ; >>Hepatitis C ; >>Hepatitis B ; >>Measles ; >>Human cytomegalovirus infection ; >>Influenza A ; >>Human papillomavirus infection ; >>Human T-cell leukemia virus 1 infection ; >>Kaposi sarcoma-associated herpesvirus infection ; >>Herpes simplex virus 1 infection ; >>Epstein-Barr virus infection ; >>Human immunodeficiency virus 1 infection ; >>Pathways in cancer ; >>Proteoglycans in cancer ; >>Chemical carcinogenesis - receptor activation ; >>Chemical carcinogenesis - reactive oxygen species ; >>Colorectal cancer ; >>Renal cell carcinoma ; >>Pancreatic cancer ; >>Endometrial cancer ; >>Glioma ; >>Prostate cancer ; >>Melanoma ; >>Chronic myeloid leukemia ; >>Acute myeloid leukemia ; >>Small cell lung cancer ; >>Non-small cell lung cancer ; >>Breast cancer ; >>Hepatocellular carcinoma ; >>Gastric cancer ; >>Central carbon metabolism in cancer ; >>Choline metabolism in cancer ; >>PD-L1 expression and PD-1 checkpoint pathway in cancer ; >>Diabetic cardiomyopathy ; >>Lipid and atherosclerosis ; >>Fluid shear stress and atherosclerosis
商品信息已成功复制,启研竭诚为您服务
