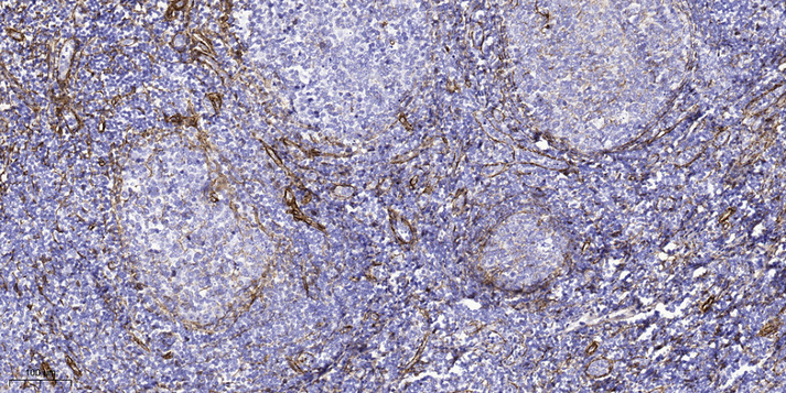
Main InformationTargetAtg4CHost SpeciesRabbitReactivityHuman, Mouse, RatApplicationsIHC, IFMW57kD (Observed)Conjugate/ModificationUnmodifiedDetailed InformationRecommended Dilution RatioIHC 1:50-300; IF 1:50-200FormulationLiquid in PBS containing 50% glycerol, 0.5% BSA and 0.02% sodium azide.SpecificityThe antibody detects endogenous ATG4c proteinPurificationThe antibody was affinity-purified from rabbit antiserum by affinity-chromatography using epitope-specific immunogen.Storage-15°C to -25°C/1 year(Do not lower than -25°C)Concentration1 mg/mlMW(Observed)57kDModificationUnmodifiedClonalityPolyclonalIsotypeIgGAntigen&Target InformationImmunogen:Recombinant Protein of ATG4cSpecificity:The antibody detects endogenous ATG4c proteinGene Name:ATG4C APG4C AUTL1 AUTL3Protein Name:Cysteine protease ATG4C (AUT-like 3 cysteine endopeptidase) (Autophagin-3) (Autophagy-related cysteine endopeptidase 3) (Autophagy-related protein 4 homolog C)Other Name:Cysteine protease ATG4C ; AUT-like 3 cysteine endopeptidase ; Autophagin-3 ; Autophagy-related cysteine endopeptidase 3 ; Autophagy-related protein 4 homolog C ;Background:Autophagy is the process by which endogenous proteins and damaged organelles are destroyed intracellularly. Autophagy is postulated to be essential for cell homeostasis and cell remodeling during differentiation, metamorphosis, non-apoptotic cell death, and aging. Reduced levels of autophagy have been described in some malignant tumors, and a role for autophagy in controlling the unregulated cell growth linked to cancer has been proposed. This gene encodes a member of the autophagin protein family. The encoded protein is also designated as a member of the C-54 family of cysteine proteases. Alternate transcriptional splice variants, encoding the same protein, have been characterized. [provided by RefSeq, Jul 2008],Function:enzyme regulation:Inhibited by N-ethylmaleimide.,Function:Cysteine protease required for autophagy, which cleaves the C-terminal part of either MAP1LC3, GABARAPL2 or GABARAP, allowing the liberation of form I. A subpopulation of form I is subsequently converted to a smaller form (form II). Form II, with a revealed C-terminal glycine, is considered to be the phosphatidylethanolamine (PE)-conjugated form, and has the capacity for the binding to autophagosomes.,similarity:Belongs to the peptidase C54 family.,tissue specificity:Highly expressed in skeletal muscle, heart, liver and testis.,Cellular Localization:Cytoplasm .Tissue Expression:Brain,Heart,Placenta,Testis,Research Areas:>>Autophagy - other ; >>Autophagy - animal
商品信息已成功复制,启研竭诚为您服务
