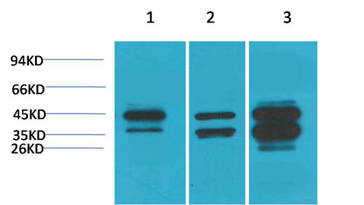
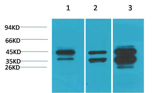
Main InformationTargetDUSP6Host SpeciesRabbitReactivityHuman, Rat, MouseApplicationsWBMW42,44kD (Observed)Conjugate/ModificationUnmodifiedDetailed InformationRecommended Dilution RatioWB 1:1000-3000FormulationLiquid in PBS containing 50% glycerol, 0.5% BSA and 0.02% sodium azide.SpecificityDUSP6 Rabbit Polyclonal detects endogenous levels of DUSP6PurificationThe antibody was affinity-purified from rabbit antiserum by affinity-chromatography using epitope-specific immunogen.Storage-15°C to -25°C/1 year(Do not lower than -25°C)Concentration1 mg/mlMW(Observed)42,44kDModificationUnmodifiedClonalityPolyclonalIsotypeIgGAntigen&Target InformationImmunogen:Synthetic Peptide of DUSP6Specificity:DUSP6 Rabbit Polyclonal detects endogenous levels of DUSP6Gene Name:DUSP6Protein Name:Dual specificity protein phosphatase 6 (Dual specificity protein phosphatase PYST1) (Mitogen-activated protein kinase phosphatase 3) (MAP kinase phosphatase 3) (MKP-3)Other Name:DUSP6 ; MKP3 ; PYST1 ; Dual specificity protein phosphatase 6 ; Dual specificity protein phosphatase PYST1 ; Mitogen-activated protein kinase phosphatase 3 ; MAP kinase phosphatase 3 ; MKP-3Background:The protein encoded by this gene is a member of the dual specificity protein phosphatase subfamily. These phosphatases inactivate their target kinases by dephosphorylating both the phosphoserine/threonine and phosphotyrosine residues. They negatively regulate members of the mitogen-activated protein (MAP) kinase superfamily (MAPK/ERK, SAPK/JNK, p38), which are associated with cellular proliferation and differentiation. Different members of the family of dual specificity phosphatases show distinct substrate specificities for various MAP kinases, different tissue distribution and subcellular localization, and different modes of inducibility of their expression by extracellular stimuli. This gene product inactivates ERK2, is expressed in a variety of tissues with the highest levels in heart and pancreas, and unlike most other members of this family, is localized in the cytoplasm. Mutations in tFunction:Catalytic activity:A phosphoprotein + H(2)O = a protein + phosphate.,Catalytic activity:Protein tyrosine phosphate + H(2)O = protein tyrosine + phosphate.,Function:Inactivates MAP kinases. Has a specificity for the ERK family.,similarity:Belongs to the protein-tyrosine phosphatase family. Non-receptor class dual specificity subfamily.,similarity:Contains 1 rhodanese domain.,similarity:Contains 1 tyrosine-protein phosphatase domain.,Cellular Localization:Cytoplasm .Tissue Expression:Expressed in keratinocytes (at protein level).Research Areas:>>MAPK signaling pathway ; >>Transcriptional misregulation in cancer ; >>Acute myeloid leukemia
商品信息已成功复制,启研竭诚为您服务
