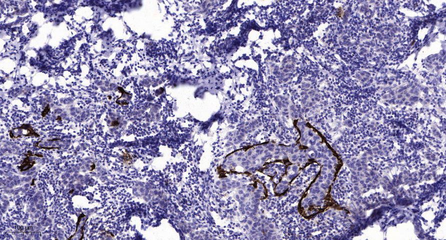
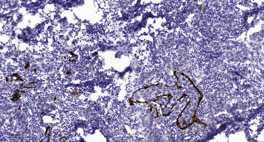
Main InformationTargetCD130/gp130Host SpeciesRabbitReactivityHuman, MouseApplicationsIHC, IF, WBMW130kD (Observed)Conjugate/ModificationPhosphoDetailed InformationRecommended Dilution RatioIHC 1:50-200; WB 1:500-2000; IF 1:50-200FormulationLiquid in PBS containing 50% glycerol, 0.5% BSA and 0.02% sodium azide.SpecificityThis antibody detects endogenous phospho levels of CD130/gp130 (Phospho-Ser782) at Human:S782, Mouse:S780PurificationThe antibody was affinity-purified from rabbit serum by affinity-chromatography using specific immunogen.Storage-15°C to -25°C/1 year(Do not lower than -25°C)Concentration1 mg/mlMW(Observed)130kDModificationPhosphoClonalityPolyclonalIsotypeIgGAntigen&Target InformationImmunogen:Synthesized peptide derived from human CD130/gp130 (Phospho-Ser782)Specificity:This antibody detects endogenous phospho levels of CD130/gp130 (Phospho-Ser782) at Human:S782, Mouse:S780Gene Name:IL6STProtein Name:CD130/gp130 (Phospho-Ser782)Other Name:Interleukin-6 receptor subunit beta ; IL-6 receptor subunit beta ; IL-6R subunit beta ; IL-6R-beta ; IL-6RB ; CDw130 ; Interleukin-6 signal transducer ; Membrane glycoprotein 130 ; gp130 ; Oncostatin-M receptor subunit alpha ; CD antigen CD130 ;Background:The protein encoded by this gene is a signal transducer shared by many cytokines, including interleukin 6 (IL6), ciliary neurotrophic factor (CNTF), leukemia inhibitory factor (LIF), and oncostatin M (OSM). This protein functions as a part of the cytokine receptor complex. The activation of this protein is dependent upon the binding of cytokines to their receptors. vIL6, a protein related to IL6 and encoded by the Kaposi sarcoma-associated herpesvirus, can bypass the interleukin 6 receptor (IL6R) and directly activate this protein. Knockout studies in mice suggest that this gene plays a critical role in regulating myocyte apoptosis. Alternatively spliced transcript variants have been described. A related pseudogene has been identified on chromosome 17. [provided by RefSeq, May 2014],Function:Disease:Isoform 2 is an autoantigen found in rheumatoid arthritis (RA) but it is not specific to patients with RA.,Domain:The box 1 motif is required for JAK interaction and/or activation.,Domain:The WSXWS motif appears to be necessary for proper protein folding and thereby efficient intracellular transport and cell-surface receptor binding.,Function:Signal-transducing molecule. The receptor systems for IL6, LIF, OSM, CNTF, IL11, CTF1 and BSF3 can utilize gp130 for initiating signal transmission. Binds to IL6/IL6R (alpha chain) complex, resulting in the formation of high-affinity IL6 binding sites, and transduces the signal. Does not bind IL6. May have a role in embryonic development (By similarity). The type I OSM receptor is capable of transducing OSM-specific signaling events.,induction:Leukemia inhibitory factor (LIF) and Oncostatin-M (OSM) activate the type I OSM receptor while only OSM can activate the type II OSM receptor.,PTM:Heavily N-glycosylated.,PTM:Phosphorylation of Ser-782 down-regulates cell surface expression.,similarity:Belongs to the type I cytokine receptor family. Type 2 subfamily.,similarity:Contains 1 Ig-like C2-type (immunoglobulin-like) domain.,similarity:Contains 5 fibronectin type-III domains.,subunit:Interacts with INPP5D/SHIP1 (By similarity). Forms heterodimers composed of LIPR and IL6ST (type I OSM receptor). Also forms heterodimers composed of OSMR and IL6ST (type II OSM receptor). Homodimer. The homodimer binds two molecules of herpes virus IL6. Component of a hexamer of two molecules each of IL6, IL6R and IL6ST.,tissue specificity:Found in all the tissues and cell lines examined. Expression not restricted to IL6 responsive cells.,Cellular Localization:[Isoform 1]: Cell membrane ; Single-pass type I membrane protein .; [Isoform 2]: Secreted .Tissue Expression:Found in all the tissues and cell lines examined (PubMed:2261637). Expression not restricted to IL6 responsive cells (PubMed:2261637). ; [Isoform 2]: Expressed in blood serum (at protein level) (PubMed:24629561).Research Areas:>>Cytokine-cytokine receptor interaction ; >>Viral protein interaction with cytokine and cytokine receptor ; >>Signaling pathways regulating pluripotency of stem cells ; >>JAK-STAT signaling pathway ; >>Th17 cell differentiation ; >>Kaposi sarcoma-associated herpesvirus infection ; >>Coronavirus disease - COVID-19 ; >>Pathways in cancer ; >>Viral carcinogenesis
商品信息已成功复制,启研竭诚为您服务
