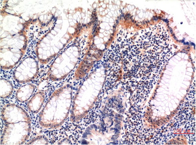
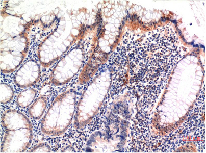
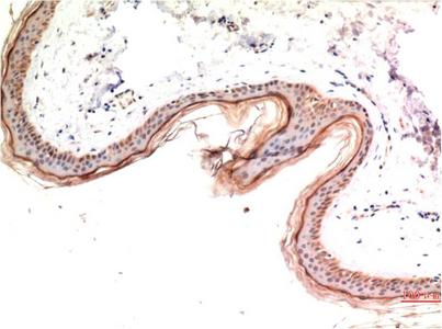
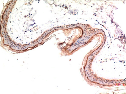
Main InformationTargetMLKLHost SpeciesMouseReactivityHumanApplicationsIF, IHCMW54kD (Observed)Conjugate/ModificationPhosphoDetailed InformationRecommended Dilution RatioIF 1:50-200; IHC 1:100-200FormulationLiquid in PBS containing 50% glycerol, 0.5% BSA and 0.02% sodium azide.Specificityphospho-MLKL (S358) protein detects endogenous levels of MLKLPurificationThe antibody was affinity-purified from mouse ascites by affinity-chromatography using specific immunogen.Storage-15°C to -25°C/1 year(Do not lower than -25°C)Concentration1 mg/mlMW(Observed)54kDModificationPhosphoClonalityMonoclonalClone Number6F8Antigen&Target InformationImmunogen:Synthetic Peptide of phospho-MLKL (S358)Specificity:phospho-MLKL (S358) protein detects endogenous levels of MLKLGene Name:MLKLProtein Name:MLKLOther Name:MLKLBackground:This gene belongs to the protein kinase superfamily. The encoded protein contains a protein kinase-like domain; however, is thought to be inactive because it lacks several residues required for activity. This protein plays a critical role in tumor necrosis factor (TNF)-induced necroptosis, a programmed cell death process, via interaction with receptor-interacting protein 3 (RIP3), which is a key signaling molecule in necroptosis pathway. Inhibitor studies and knockdown of this gene inhibited TNF-induced necrosis. High levels of this protein and RIP3 are associated with inflammatory bowel disease in children. Alternatively spliced transcript variants have been described for this gene. [provided by RefSeq, Sep 2015],Function:Domain:The protein kinase domain is predicted to be catalytically inactive.,similarity:Belongs to the protein kinase superfamily.,similarity:Contains 1 protein kinase domain.,Cellular Localization:Cytoplasm . Cell membrane . Nucleus . Localizes to the cytoplasm and translocates to the plasma membrane on necroptosis induction (PubMed:24316671). Localizes to the nucleus in response to orthomyxoviruses infection (By similarity). .Tissue Expression:Chondrocyte,Leukocyte,Lymph node,Research Areas:>>Necroptosis ; >>TNF signaling pathway ; >>Salmonella infection
商品信息已成功复制,启研竭诚为您服务
