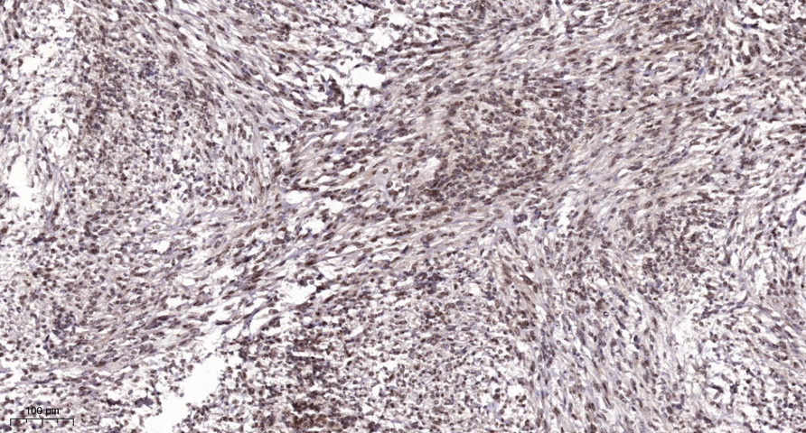
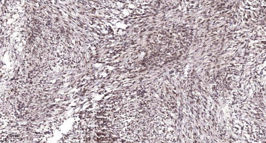
Main InformationTargetCENPMHost SpeciesRabbitReactivityHuman, MouseApplicationsIHC, IF, WBMW20kD (Observed)Conjugate/ModificationUnmodifiedDetailed InformationRecommended Dilution RatioIHC 1:50-200; WB 1:500-2000; IF 1:50-200FormulationLiquid in PBS containing 50% glycerol, 0.5% BSA and 0.02% sodium azide.SpecificityThis antibody detects endogenous levels of human CENP-MPurificationThe antibody was affinity-purified from rabbit antiserum by affinity-chromatography using epitope-specific immunogen.Storage-15°C to -25°C/1 year(Do not lower than -25°C)Concentration1 mg/mlMW(Observed)20kDModificationUnmodifiedClonalityPolyclonalIsotypeIgGAntigen&Target InformationImmunogen:Synthesized peptide derived from human CENP-M AA range: 30-110Specificity:This antibody detects endogenous levels of human CENP-MGene Name:CENPM C22orf18 ICEN39 PANE1Protein Name:CENP-MOther Name:Centromere protein M ; CENP-M ; Interphase centromere complex protein 39 ; Proliferation-associated nuclear element protein 1 ;Background:The protein encoded by this gene is an inner protein of the kinetochore, the multi-protein complex that binds spindle microtubules to regulate chromosome segregation during cell division. It belongs to the constitutive centromere-associated network protein group, whose members interact with outer kinetochore proteins and help to maintain centromere identity at each cell division cycle. The protein is structurally related to GTPases but cannot bind guanosine triphosphate. A point mutation that affects interaction with another constitutive centromere-associated network protein, CENP-I, impairs kinetochore assembly and chromosome alignment, suggesting that it is required for kinetochore formation. Alternative splicing results in multiple transcript variants. [provided by RefSeq, Jan 2015],Function:Function:Component of the CENPA-NAC (nucleosome-associated) complex, a complex that plays a central role in assembly of kinetochore proteins, mitotic progression and chromosome segregation. The CENPA-NAC complex recruits the CENPA-CAD (nucleosome distal) complex and may be involved in incorporation of newly synthesized CENPA into centromeres.,subcellular location:Nuclear in non-confluent cells and cytoplasmic in confluent or dividing cells (By similarity). Localizes in the kinetochore domain of centromeres.,subunit:Component of the CENPA-NAC complex, at least composed of CENPA, CENPC, CENPH, CENPM, CENPN, CENPT and MLF1IP/CENPU. The CENPA-NAC complex interacts with the CENPA-CAD complex, composed of CENPI, CENPK, CENPL, CENPO, CENPP, CENPQ, CENPR and CENPS.,tissue specificity:Isoform 3 is highly expressed in spleen, and intermediately in heart, prostate and ovary. Isoform 3 is highly expressed in resting CD19 B-cells and B-lineage chronic lymphocytic leukemia (B-CLL) cells and weakly expressed in activated B-cells. Isoform 1 is selectively expressed in activated CD19 cells and weakly in resting CD19 B-cells.,Cellular Localization:Nucleus. Cytoplasm. Chromosome, centromere, kinetochore. Nuclear in non-confluent cells and cytoplasmic in confluent or dividing cells (By similarity). Localizes in the kinetochore domain of centromeres. .Tissue Expression:Isoform 3 is highly expressed in spleen, and intermediately in heart, prostate and ovary. Isoform 3 is highly expressed in resting CD19 B-cells and B-lineage chronic lymphocytic leukemia (B-CLL) cells and weakly expressed in activated B-cells. Isoform 1 is selectively expressed in activated CD19 cells and weakly in resting CD19 B-cells.
商品信息已成功复制,启研竭诚为您服务
