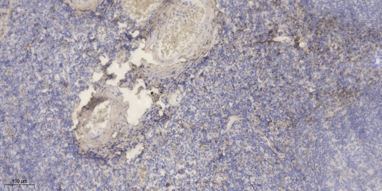
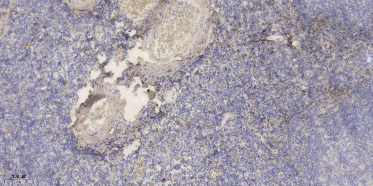
Main InformationTargetKLK15Host SpeciesRabbitReactivityHumanApplicationsIHC, IF, WBMW35kD (Observed)Conjugate/ModificationUnmodifiedDetailed InformationRecommended Dilution RatioIHC 1:50-200; WB 1:500-2000; IF 1:50-200FormulationLiquid in PBS containing 50% glycerol, 0.5% BSA and 0.02% sodium azide.SpecificityThis antibody detects endogenous levels of human KLK15PurificationThe antibody was affinity-purified from rabbit antiserum by affinity-chromatography using epitope-specific immunogen.Storage-15°C to -25°C/1 year(Do not lower than -25°C)Concentration1 mg/mlMW(Observed)35kDModificationUnmodifiedClonalityPolyclonalIsotypeIgGAntigen&Target InformationImmunogen:Synthesized peptide derived from human KLK15 AA range: 20-100Specificity:This antibody detects endogenous levels of human KLK15Gene Name:KLK15Protein Name:KLK15Other Name:Kallikrein-15 ; ACO protease ;Background:Kallikreins are a subgroup of serine proteases having diverse physiological functions. Growing evidence suggests that many kallikreins are implicated in carcinogenesis and some have potential as novel cancer and other disease biomarkers. This gene is one of the fifteen kallikrein subfamily members located in a cluster on chromosome 19. In prostate cancer, this gene has increased expression, which indicates its possible use as a diagnostic or prognostic marker for prostate cancer. The gene contains multiple polyadenylation sites and alternative splicing results in multiple transcript variants encoding distinct isoforms. [provided by RefSeq, Jul 2008],Function:Function:Protease whose physiological substrate is not yet known.,similarity:Belongs to the peptidase S1 family.,similarity:Belongs to the peptidase S1 family. Kallikrein subfamily.,similarity:Contains 1 peptidase S1 domain.,tissue specificity:Highest expression in the thyroid gland. Also expressed in the prostate, salivary, and adrenal glands and in the colon testis and kidney.,Cellular Localization:Secreted .Tissue Expression:Highest expression in the thyroid gland. Also expressed in the prostate, salivary, and adrenal glands and in the colon testis and kidney.
商品信息已成功复制,启研竭诚为您服务
