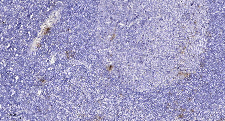
Main InformationTargetSC6A4Host SpeciesRabbitReactivityHuman, Mouse, RatApplicationsWB, IHC, IF, ELISAMW69kD (Observed)Conjugate/ModificationUnmodifiedDetailed InformationRecommended Dilution RatioWB 1:500-1:2000; IHC 1:100-1:300; IF 1:200-1:1000; ELISA 1:40000; Not yet tested in other applications.FormulationLiquid in PBS containing 50% glycerol, 0.5% BSA and 0.02% sodium azide.SpecificityThis antibody detects endogenous levels of human SC6A4PurificationThe antibody was affinity-purified from rabbit antiserum by affinity-chromatography using epitope-specific immunogen.Storage-15°C to -25°C/1 year(Do not lower than -25°C)Concentration1 mg/mlMW(Observed)69kDModificationUnmodifiedClonalityPolyclonalIsotypeIgGAntigen&Target InformationImmunogen:Synthesized peptide derived from human SC6A4Specificity:This antibody detects endogenous levels of human SC6A4Gene Name:SLC6A4 HTT SERTProtein Name:SC6A4Other Name:Sodium-dependent serotonin transporter ; 5HT transporter ; 5HTT ; Solute carrier family 6 member 4 ;Background:This gene encodes an integral membrane protein that transports the neurotransmitter serotonin from synaptic spaces into presynaptic neurons. The encoded protein terminates the action of serotonin and recycles it in a sodium-dependent manner. This protein is a target of psychomotor stimulants, such as amphetamines and cocaine, and is a member of the sodium:neurotransmitter symporter family. A repeat length polymorphism in the promoter of this gene has been shown to affect the rate of serotonin uptake and may play a role in sudden infant death syndrome, aggressive behavior in Alzheimer disease patients, and depression-susceptibility in people experiencing emotional trauma. [provided by RefSeq, Jul 2008],Function:Function:Terminates the action of serotonin by its high affinity sodium-dependent reuptake into presynaptic terminals.,miscellaneous:This protein is the target of psychomotor stimulants such as amphetamines or cocaine.,online information:Serotonin transporter entry,online information:The Singapore human mutation and polymorphism database,polymorphism:A polymorphism in the promoter region (5-HTT gene-linked polymorphic region, 5-HTTLPR) is located approximately 1 kb upstream of the transcription initiation site and is composed of 16 repeat elements. The polymorphism consists of a 44-bp insertion or deletion involving repeat elements 6 to 8. The short allele is associated with lower transcriptional efficiency of the promoter compared with the long allele. Over half of the Caucasian population has a short allele. Individuals with one or two copies of the short allele exhibit more depressive symptoms, diagnosable depression and suicidality in relation to stressful life events than individuals homozygous for the long allele.,polymorphism:Genetic variations in SLC6A4 determine the genetic susceptibility to alcoholism [MIM:103780].,polymorphism:The polymorphism Val-425 seems to be linked to a susceptibility to obsessive-compulsive disorder (OCD) [MIM:164230].,similarity:Belongs to the sodium:neurotransmitter symporter (SNF) family.,subunit:Interacts with TGFB1I1.,Cellular Localization:Cell membrane ; Multi-pass membrane protein . Endomembrane system ; Multi-pass membrane protein . Endosome membrane ; Multi-pass membrane protein . Cell junction, synapse . Cell junction, focal adhesion . Could be part of recycling endosomes (PubMed:16870614). Density of transporter molecules on the plasma membrane is itself regulated by STX1A (By similarity). Density of transporter molecules on the plasma membrane is also regulated by serotonin (PubMed:17506858). Density of transporter molecules seems to be modulated by ITGAV:ITGB3 (By similarity). .Tissue Expression:Expressed in platelets (at protein level).Research Areas:>>Synaptic vesicle cycle ; >>Serotonergic synapse
商品信息已成功复制,启研竭诚为您服务
