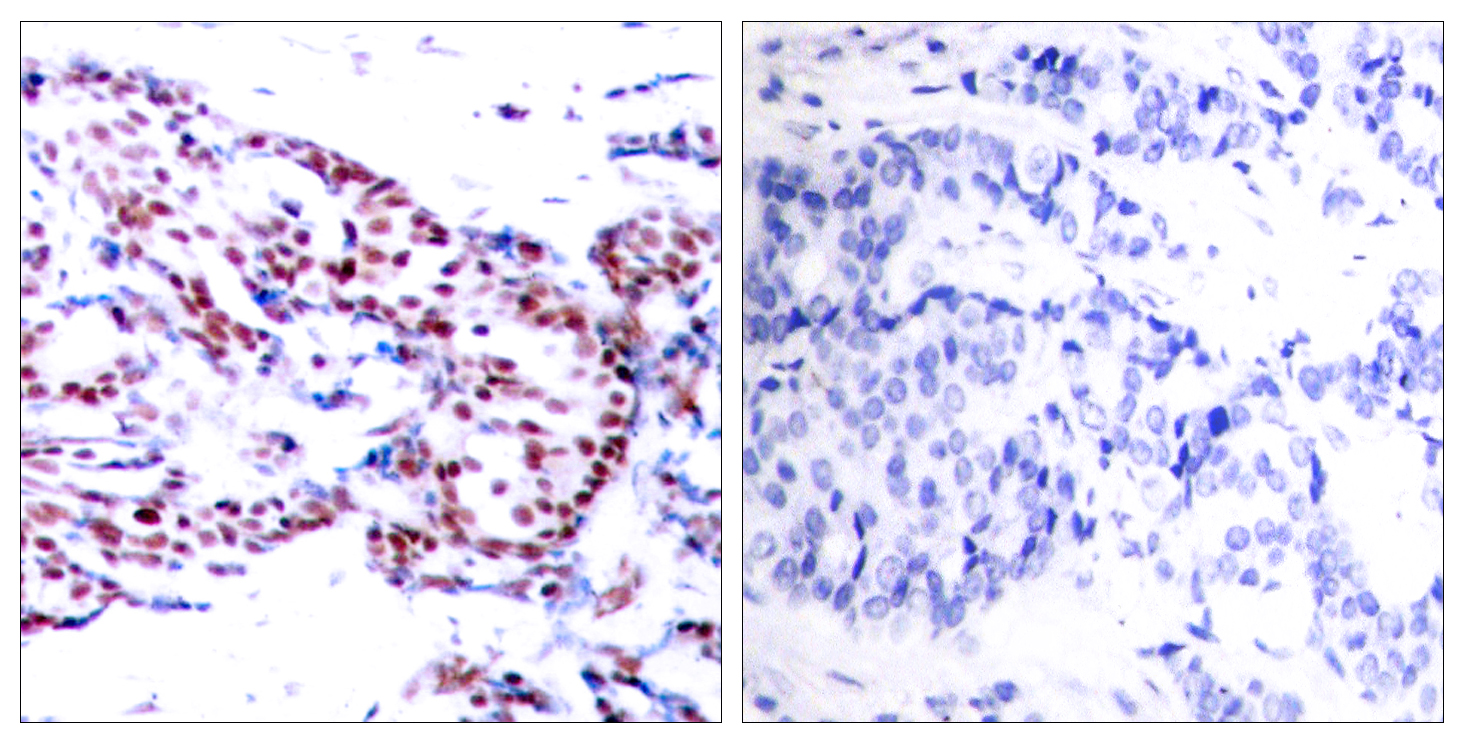
Main InformationTargetATF-2Host SpeciesRabbitReactivityHuman, Mouse, Rat, MonkeyApplicationsWB, IHC, IF, IP, ELISAMW52kD (Observed)Conjugate/ModificationUnmodifiedDetailed InformationRecommended Dilution RatioWB 1:500-1:2000; IHC 1:100-1:300; IP 2-5 ug:mg lysate; ELISA 1:20000; IF 1:50-200FormulationLiquid in PBS containing 50% glycerol, 0.5% BSA and 0.02% sodium azide.SpecificityATF-2 Polyclonal Antibody detects endogenous levels of ATF-2 protein.PurificationThe antibody was affinity-purified from rabbit antiserum by affinity-chromatography using epitope-specific immunogen.Storage-15°C to -25°C/1 year(Do not lower than -25°C)Concentration1 mg/mlMW(Observed)52kDModificationUnmodifiedClonalityPolyclonalIsotypeIgGAntigen&Target InformationImmunogen:The antiserum was produced against synthesized peptide derived from human ATF2. AA range:38-87Specificity:ATF-2 Polyclonal Antibody detects endogenous levels of ATF-2 protein.Gene Name:ATF2Protein Name:Cyclic AMP-dependent transcription factor ATF-2Other Name:ATF2 ; CREB2 ; CREBP1 ; Cyclic AMP-dependent transcription factor ATF-2 ; cAMP-dependent transcription factor ATF-2 ; Activating transcription factor 2 ; Cyclic AMP-responsive element-binding protein 2 ; CREB-2 ; cAMP-responsive element-binding proDatabase Link:Background:activating transcription factor 2(ATF2) Homo sapiens This gene encodes a transcription factor that is a member of the leucine zipper family of DNA binding proteins. The encoded protein has been identified as a moonlighting protein based on its ability to perform mechanistically distinct functions This protein binds to the cAMP-responsive element (CRE), an octameric palindrome. It forms a homodimer or a heterodimer with c-Jun and stimulates CRE-dependent transcription. This protein is also a histone acetyltransferase (HAT) that specifically acetylates histones H2B and H4 in vitro; thus it may represent a class of sequence-specific factors that activate transcription by direct effects on chromatin components. The encoded protein may also be involved in cell's DNA damage response independent of its role in transcriptional regulation. Several alternatively spliced transcript variants have been found for this gene [provided by RefSeq, Jan 2014Function:Caution:It is uncertain whether Met-1 or Met-19 is the initiator.,Function:Transcriptional activator, probably constitutive, which binds to the cAMP-responsive element (CRE) (consensus: 5'-GTGACGT[AC][AG]-3'), a sequence present in many viral and cellular promoters. Interaction with JUN redirects JUN to bind to CRES preferentially over the 12-O-tetradecanoylphorbol-13-acetate response elements (TRES) as part of an ATF2-c-Jun complex.,PTM:Phosphorylation of Thr-69 and Thr-71 by MAPK14 causes increased transcriptional activity. Also phosphorylated and activated by JNK.,similarity:Belongs to the bZIP family.,similarity:Belongs to the bZIP family. ATF subfamily.,similarity:Contains 1 bZIP domain.,similarity:Contains 1 C2H2-type zinc finger.,subunit:Binds DNA as a dimer and can form a homodimer in the absence of DNA. Can form a heterodimer with JUN. Interacts with SMAD3 and SMAD4. Binds through its N-terminal region to UTF1 which acts as a coactivator of ATF2 transcriptional activity.,tissue specificity:Abundant expression seen in the brain.,Cellular Localization:Nucleus. Cytoplasm. Mitochondrion outer membrane. Shuttles between the cytoplasm and the nucleus and heterodimerization with JUN is essential for the nuclear localization. Localization to the cytoplasm is observed under conditions of cellular stress and in disease states. Localizes at the mitochondrial outer membrane in response to genotoxic stress. Phosphorylation at Thr-52 is required for its nuclear localization and negatively regulates its mitochondrial localization. Co-localizes with the MRN complex in the IR-induced foci (IRIF).Tissue Expression:Ubiquitously expressed, with more abundant expression in the brain.Research Areas:>>MAPK signaling pathway ; >>cGMP-PKG signaling pathway ; >>PI3K-Akt signaling pathway ; >>Longevity regulating pathway ; >>Adrenergic signaling in cardiomyocytes ; >>TNF signaling pathway ; >>Thermogenesis ; >>Dopaminergic synapse ; >>Insulin secretion ; >>Estrogen signaling pathway ; >>Thyroid hormone synthesis ; >>Glucagon signaling pathway ; >>Aldosterone synthesis and secretion ; >>Relaxin signaling pathway ; >>Cortisol synthesis and secretion ; >>Parathyroid hormone synthesis, secretion and action ; >>Cushing syndrome ; >>Growth hormone synthesis, secretion and action ; >>Prion disease ; >>Cocaine addiction ; >>Amphetamine addiction ; >>Alcoholism ; >>Hepatitis B ; >>Human cytomegalovirus infection ; >>Human T-cell leukemia virus 1 infection ; >>Viral carcinogenesis ; >>Chemical carcinogenesis - receptor activation
商品信息已成功复制,启研竭诚为您服务
