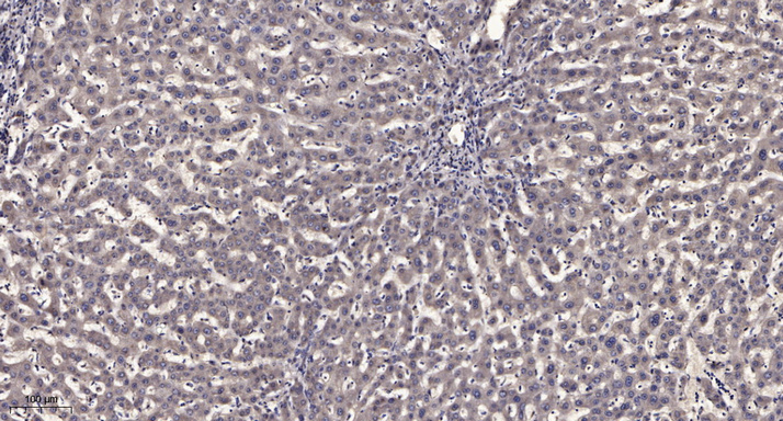
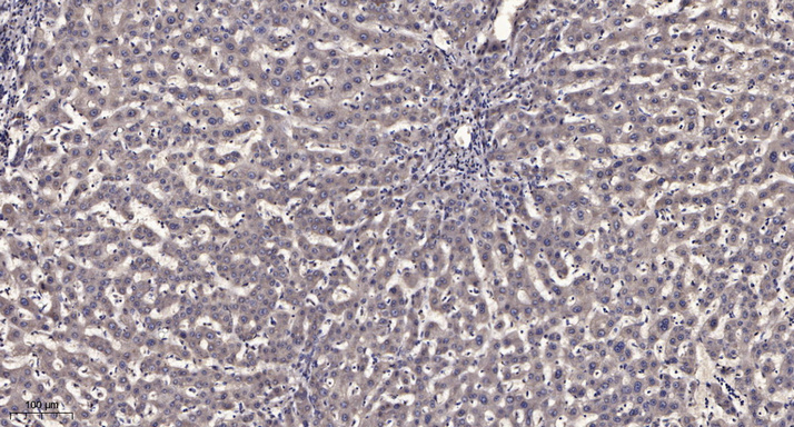
Main InformationTargetATG13Host SpeciesRabbitReactivityHuman, Mouse, RatApplicationsIHC, IFMW57kD (Observed)Conjugate/ModificationUnmodifiedDetailed InformationRecommended Dilution RatioIHC 1:50-300; IF 1:50-200FormulationLiquid in PBS containing 50% glycerol, 0.5% BSA and 0.02% sodium azide.SpecificityThe antibody detects endogenous ATG13 proteinPurificationThe antibody was affinity-purified from rabbit antiserum by affinity-chromatography using epitope-specific immunogen.Storage-15°C to -25°C/1 year(Do not lower than -25°C)Concentration1 mg/mlMW(Observed)57kDModificationUnmodifiedClonalityPolyclonalIsotypeIgGAntigen&Target InformationImmunogen:Recombinant Protein of ATG13Specificity:The antibody detects endogenous ATG13 proteinGene Name:ATG13 KIAA0652Protein Name:Autophagy-related protein 13Other Name:Autophagy-related protein 13Background:The protein encoded by this gene is an autophagy factor and a target of the TOR kinase signaling pathway. The encoded protein is essential for autophagosome formation and mitophagy. [provided by RefSeq, Oct 2016],Function:autophagic vacuole formation, autophagy, vacuole organization, cellular response to starvation, response to extracellular stimulus, macroautophagy, response to nutrient levels, cellular response to extracellular stimulus, cellular response to nutrient levels, cellular response to stress, response to starvation,Cellular Localization:Cytoplasm, cytosol . Preautophagosomal structure . Under starvation conditions, is localized to puncate structures primarily representing the isolation membrane; the isolation membrane sequesters a portion of the cytoplasm resulting in autophagosome formation. .Tissue Expression:Amygdala,Brain,Research Areas:>>Autophagy - other ; >>Autophagy - animal ; >>Longevity regulating pathway ; >>Alzheimer disease ; >>Amyotrophic lateral sclerosis ; >>Huntington disease ; >>Spinocerebellar ataxia ; >>Pathways of neurodegeneration - multiple diseases
商品信息已成功复制,启研竭诚为您服务
