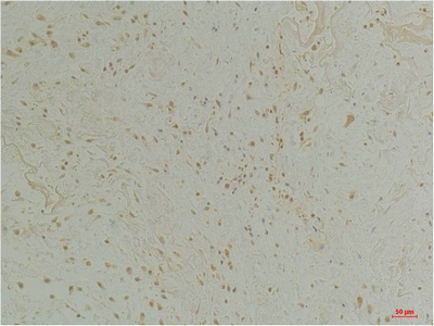
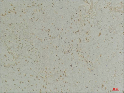
Main InformationTargetCLIC1Host SpeciesRabbitReactivityHuman, Rat, MouseApplicationsIHC, IFMW30kD (Observed)Conjugate/ModificationUnmodifiedDetailed InformationRecommended Dilution RatioIHC 1:100-200; IF 1:50-200FormulationLiquid in PBS containing 50% glycerol, 0.5% BSA and 0.02% sodium azide.SpecificityCLIC1 protein(A216) detects endogenous levels of CLIC1PurificationThe antibody was affinity-purified from rabbit antiserum by affinity-chromatography using epitope-specific immunogen.Storage-15°C to -25°C/1 year(Do not lower than -25°C)Concentration1 mg/mlMW(Observed)30kDModificationUnmodifiedClonalityPolyclonalIsotypeIgGAntigen&Target InformationImmunogen:Synthetic Peptide of CLIC1 AA range: 166-216Specificity:CLIC1 protein(A216) detects endogenous levels of CLIC1Gene Name:CLIC1Protein Name:Chloride intracellular channel protein 1 (Chloride channel ABP) (Nuclear chloride ion channel 27) (NCC27) (Regulatory nuclear chloride ion channel protein) (hRNCC)Other Name:Chloride intracellular channel protein 1 ; Chloride channel ABP ; Nuclear chloride ion channel 27 ; NCC27 ; Regulatory nuclear chloride ion channel protein ; hRNCC ;Background:chloride intracellular channel 1(CLIC1) Homo sapiens Chloride channels are a diverse group of proteins that regulate fundamental cellular processes including stabilization of cell membrane potential, transepithelial transport, maintenance of intracellular pH, and regulation of cell volume. Chloride intracellular channel 1 is a member of the p64 family; the protein localizes principally to the cell nucleus and exhibits both nuclear and plasma membrane chloride ion channel activity. [provided by RefSeq, Jul 2008],Function:Domain:Members of this family may change from a globular, soluble state to a state where the N-terminal domain is inserted into the membrane and functions as chloride channel. A conformation change of the N-terminal domain is thought to expose hydrophobic surfaces that trigger membrane insertion.,Function:Can insert into membranes and form chloride ion channels. Channel activity depends on the pH. Membrane insertion seems to be redox-regulated and may occur only under oxydizing conditions.,miscellaneous:The protein seems to have very low affinity for glutathion, even though glutathion binding was observed in protein crystals.,PTM:Hydrogen peroxide treatment causes a conformation change, leading to dimerization and formation of an intramolecular disulfide bond between Cys-24 and Cys-59.,similarity:Belongs to the chloride channel CLIC family.,similarity:Contains 1 GST C-terminal domain.,subcellular location:Mostly in the nucleus including in the nuclear membrane. Small amount in the cytoplasm and the plasma membrane. Exists both as soluble cytoplasmic protein and as membrane protein with probably a single transmembrane domain.,subunit:Monomer. Homodimer (in vitro). Interacts with TRAPPC2. Dimerization requires a conformation change that leads to the exposure of a large hydrophobic surface. In vivo, this may lead to membrane insertion.,Cellular Localization:Nucleus . Nucleus membrane ; Single-pass membrane protein . Cytoplasm . Cell membrane ; Single-pass membrane protein . Mostly in the nucleus including in the nuclear membrane (PubMed:9139710, PubMed:12681486). Small amount in the cytoplasm and the plasma membrane (PubMed:9139710). Exists both as soluble cytoplasmic protein and as membrane protein with probably a single transmembrane domain (PubMed:11940526, PubMed:11551966, PubMed:14613939). .Tissue Expression:Expression is prominent in heart, placenta, liver, kidney and pancreas.
商品信息已成功复制,启研竭诚为您服务
