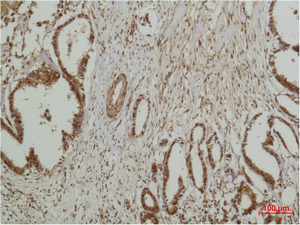
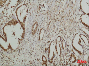
Main InformationTargetERK 5Host SpeciesRabbitReactivityHuman, Mouse, RatApplicationsWB, IHC, IFMW89-115kD (Observed)Conjugate/ModificationUnmodifiedDetailed InformationRecommended Dilution RatioWB 1:1000-2000; IHC 1:200-500; IF 1:50-200FormulationPBS, pH 7.4, containing 0.5%BSA, 0.02% sodium azide as Preservative and 50% Glycerol.SpecificityThe antibody detects endogenous ERK 5 protein.PurificationThe antibody was affinity-purified from rabbit antiserum by affinity-chromatography using epitope-specific immunogen.Storage-15°C to -25°C/1 year(Do not lower than -25°C)MW(Observed)89-115kDModificationUnmodifiedClonalityPolyclonalIsotypeIgGAntigen&Target InformationImmunogen:Recombinant Protein of ERK 5Specificity:The antibody detects endogenous ERK 5 protein.Gene Name:MAPK7,ERK5Protein Name:Mitogen-activated protein kinase 7Other Name:MAPK7 ; BMK1 ; ERK5 ; PRKM7 ; Mitogen-activated protein kinase 7 ; MAP kinase 7 ; MAPK 7 ; Big MAP kinase 1 ; BMK-1 ; Extracellular signal-regulated kinase 5 ; ERK-5Background:The protein encoded by this gene is a member of the MAP kinase family. MAP kinases act as an integration point for multiple biochemical signals, and are involved in a wide variety of cellular processes such as proliferation, differentiation, transcription regulation and development. This kinase is specifically activated by mitogen-activated protein kinase kinase 5 (MAP2K5/MEK5). It is involved in the downstream signaling processes of various receptor molecules including receptor type kinases, and G protein-coupled receptors. In response to extracelluar signals, this kinase translocates to cell nucleus, where it regulates gene expression by phosphorylating, and activating different transcription factors. Four alternatively spliced transcript variants of this gene encoding two distinct isoforms have been reported. [provided by RefSeq, Jul 2008],Function:Catalytic activity:ATP + a protein = ADP + a phosphoprotein.,cofactor:Magnesium.,Domain:The second proline-rich region may interact with actin targeting the kinase to a specific location in the cell.,Domain:The TXY motif contains the threonine and tyrosine residues whose phosphorylation activates the MAP kinases.,enzyme regulation:Activated by tyrosine and threonine phosphorylation (By similarity). Activated in response to hyperosmolarity, hydrogen peroxide, and epidermal growth factor (EGF).,Function:Plays a role in various cellular processes such as proliferation, differentiation and cell survival. The upstream activator of MAPK7 is the MAPK kinase MAP2K5. Upon activation, it translocates to the nucleus and phosphorylates various downstream targets including MEF2C. EGF activates MAPK7 through a Ras-independent and MAP2K5-dependent pathway. May have a role in muscle cell differentiation. May be important for endothelial function and maintenance of blood vessel integrity. MAP2K5 and MAPK7 interact specifically with one another and not with MEK1/ERK1 or MEK2/ERK2 pathways.,PTM:Dually phosphorylated on Thr-219 and Tyr-221, which activates the enzyme (By similarity). Autophosphorylated in vitro on threonine and tyrosine residues when the C-terminal part of the kinase, which could have a regulatory role, is absent.,similarity:Belongs to the protein kinase superfamily. CMGC Ser/Thr protein kinase family. MAP kinase subfamily.,similarity:Contains 1 protein kinase domain.,subcellular location:Translocates to the nucleus upon activation.,subunit:Interacts with MAP2K5. Forms oligomers (By similarity). Interacts with MEF2A, MEF2C and MEF2D; the interaction phosphorylates the MEF2s and enhances transcriptional activity of MEF2A, MEF2C but not MEF2D.,tissue specificity:Expressed in many adult tissues. Abundant in heart, placenta, lung, kidney and skeletal muscle. Not detectable in liver.,Cellular Localization:Cytoplasm. Nucleus. Nucleus, PML body. Translocates to the nucleus upon activation.Tissue Expression:Expressed in many adult tissues. Abundant in heart, placenta, lung, kidney and skeletal muscle. Not detectable in liver.Research Areas:>>MAPK signaling pathway ; >>Gap junction ; >>IL-17 signaling pathway ; >>Neurotrophin signaling pathway ; >>GnRH signaling pathway ; >>Oxytocin signaling pathway ; >>MicroRNAs in cancer ; >>Fluid shear stress and atherosclerosis
商品信息已成功复制,启研竭诚为您服务
