Target:Tuberin
Fields:Phospholipase D signaling pathway;p53 signaling pathway;Autophagy - animal;mTOR signaling pathway;PI3K-Akt signaling pathway;AMPK signaling pathway;Longevity regulating pathway;Cellular senescence;Thermogenesis;Insulin signaling pathway;Thyroid hormone signaling pathway;Human cytomegalovirus infection;Human papillomavirus infection;Herpes simplex virus 1 infection;Choline metabolism in cancer
Gene Name:TSC2
Protein Name:Tuberin
Human Gene Id:7249
Human Swiss Prot No:P49815
Mouse Swiss Prot No:Q61037
Rat Gene Id:24855
Rat Swiss Prot No:P49816
Immunogen:The antiserum was produced against synthesized peptide derived from human Tuberin/TSC2 around the phosphorylation site of Ser939. AA range:905-954
Specificity:Phospho-Tuberin (S939) Polyclonal Antibody detects endogenous levels of Tuberin protein only when phosphorylated at S939.
Formulation:Liquid in PBS containing 50% glycerol, 0.5% BSA and 0.02% sodium azide.
Source:Polyclonal, Rabbit,IgG
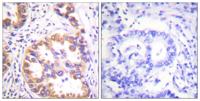
Dilution:WB 1:500 - 1:2000. IHC 1:100 - 1:300. ELISA: 1:10000.. IF 1:50-200
Purification:The antibody was affinity-purified from rabbit antiserum by affinity-chromatography using epitope-specific immunogen.
Concentration:1 mg/ml
Storage Stability:-15°C to -25°C/1 year(Do not lower than -25°C)
Other Name:TSC2;TSC4;Tuberin;Tuberous sclerosis 2 protein
Observed Band(KD):200kD
Background: Mutations in this gene lead to tuberous sclerosis complex. Its gene product is believed to be a tumor suppressor and is able to stimulate specific GTPases. The protein associates with hamartin in a cytosolic complex, possibly acting as a chaperone for hamartin. Alternative splicing results in multiple transcript variants encoding different isoforms. [provided by RefSeq, Jul 2008],
Function:alternative products:Additional isoforms seem to exist. Experimental confirmation may be lacking for some isoforms,disease:Defects in TSC2 are a cause of lymphangioleiomyomatosis (LAM) [MIM:606690]. LAM is a progressive and often fatal lung disease characterized by a diffuse proliferation of abnormal smooth muscle cells in the lungs. It affects almost exclusively young women and can occur as an isolated disorder or in association with tuberous sclerosis complex.,disease:Defects in TSC2 are the cause of tuberous sclerosis complex (TSC) [MIM:191100]. The molecular basis of TSC is a functional impairment of the tuberin-hamartin complex. TSC is an autosomal dominant multi-system disorder that affects especially the brain, kidneys, heart, and skin. TSC is characterized by hamartomas (benign overgrowths predominantly of a cell or tissue type that occurs normally in the organ) and hamartias (de
Subcellular Location:Cytoplasm. Membrane; Peripheral membrane protein. At steady state found in association with membranes.
Expression:Liver, brain, heart, lymphocytes, fibroblasts, biliary epithelium, pancreas, skeletal muscle, kidney, lung and placenta.
商品信息已成功复制,启研竭诚为您服务
