Target:STAT5A/B
Fields:ErbB signaling pathway;Necroptosis;JAK-STAT signaling pathway;Th1 and Th2 cell differentiation;Th17 cell differentiation;Prolactin signaling pathway;AGE-RAGE signaling pathway in diabetic complications;Growth hormone synthesis, secretion and action;Hepatitis B;Measles;Human T-cell leukemia virus 1 infection;Pathways in cancer;Viral carcinogenesis;Chemical carcinogenesis - receptor activation;Chronic myeloid leukemia;Acute myeloid leukemia;Non-small cell lung cancer
Gene Name:STAT5A/STAT5B
Protein Name:Signal transducer and activator of transcription 5A/B
Human Gene Id:6776/6777
Human Swiss Prot No:P42229/P51692
Mouse Gene Id:20850/20851
Rat Gene Id:24918/25126
Rat Swiss Prot No:Q62771/P52632
Immunogen:The antiserum was produced against synthesized peptide derived from human STAT5A around the phosphorylation site of Tyr694. AA range:666-715
Specificity:Phospho-Stat5 (Y694/699) Polyclonal Antibody detects endogenous levels of Stat5 protein only when phosphorylated at Y694/699.
Formulation:Liquid in PBS containing 50% glycerol, 0.5% BSA and 0.02% sodium azide.
Source:Polyclonal, Rabbit,IgG
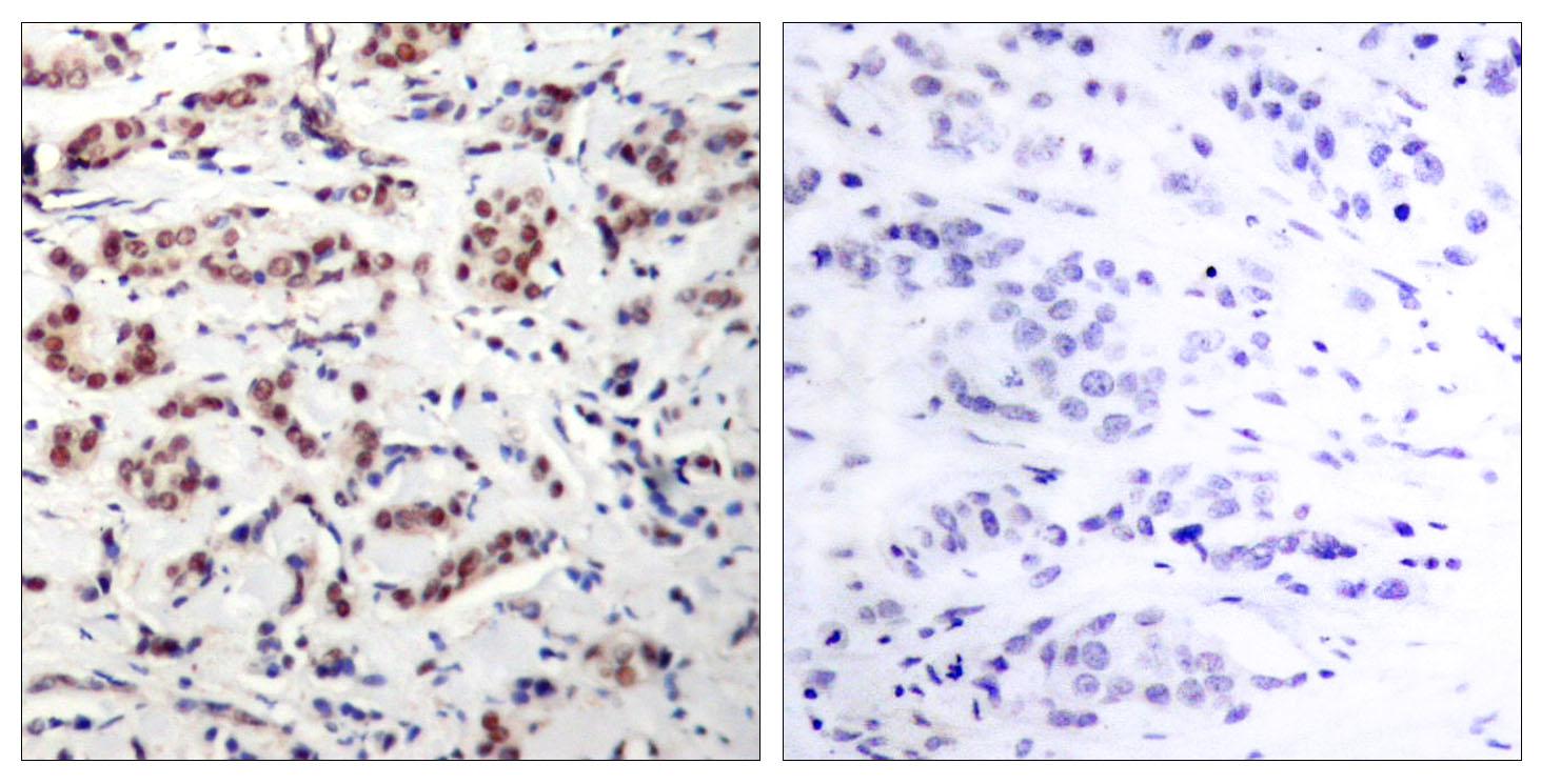
Dilution:WB 1:500 - 1:2000. IHC 1:100 - 1:300. ELISA: 1:20000.. IF 1:50-200
Purification:The antibody was affinity-purified from rabbit antiserum by affinity-chromatography using epitope-specific immunogen.
Concentration:1 mg/ml
Storage Stability:-15°C to -25°C/1 year(Do not lower than -25°C)
Other Name:STAT5A;STAT5;Signal transducer and activator of transcription 5A;STAT5B;Signal transducer and activator of transcription 5B
Observed Band(KD):91kD
Background: The protein encoded by this gene is a member of the STAT family of transcription factors. In response to cytokines and growth factors, STAT family members are phosphorylated by the receptor associated kinases, and then form homo- or heterodimers that translocate to the cell nucleus where they act as transcription activators. This protein is activated by, and mediates the responses of many cell ligands, such as IL2, IL3, IL7 GM-CSF, erythropoietin, thrombopoietin, and different growth hormones. Activation of this protein in myeloma and lymphoma associated with a TEL/JAK2 gene fusion is independent of cell stimulus and has been shown to be essential for tumorigenesis. The mouse counterpart of this gene is found to induce the expression of BCL2L1/BCL-X(L), which suggests the antiapoptotic function of this gene in cells. Alternatively spliced transcript variants have been
Function:function:Carries out a dual function: signal transduction and activation of transcription. Binds to the GAS element and activates PRL-induced transcription.,online information:STAT5 entry,PTM:Tyrosine phosphorylated in response to IL-2, IL-3, IL-7, IL-15, GM-CSF, growth hormone, prolactin, erythropoietin and thrombopoietin. Tyrosine phosphorylation is required for DNA-binding activity and dimerization. Serine phosphorylation is also required for maximal transcriptional activity.,similarity:Belongs to the transcription factor STAT family.,similarity:Contains 1 SH2 domain.,subcellular location:Translocated into the nucleus in response to phosphorylation.,subunit:Forms a homodimer or a heterodimer with a related family member. Binds NR3C1 (By similarity). Interacts with NCOA1 and SOCS7.,
Subcellular Location:Cytoplasm . Nucleus . Translocated into the nucleus in response to phosphorylation.
Expression: Brain,Cervix,Epithelium,Lung,Placenta,Synovial memb
商品信息已成功复制,启研竭诚为您服务
