Target:PLAP
Fields:Thiamine metabolism;Folate biosynthesis;Metabolic pathways;Biosynthesis of cofactors
Gene Name:ALPP/ALPPL2
Protein Name:Alkaline phosphatase, placental type/Alkaline phosphatase, placental-like
Human Gene Id:250/251
Human Swiss Prot No:P05187/P10696
Mouse Gene Id:11650
Immunogen:The antiserum was produced against synthesized peptide derived from the N-terminal region of human ALPP/ALPPL2. AA range:1-50
Specificity:ALPP/ALPPL2 Polyclonal Antibody detects endogenous levels of ALPP/ALPPL2 protein.
Formulation:Liquid in PBS containing 50% glycerol, 0.5% BSA and 0.02% sodium azide.
Source:Polyclonal, Rabbit,IgG
Dilution:WB 1:500 - 1:2000. ELISA: 1:20000. Not yet tested in other applications.
Purification:The antibody was affinity-purified from rabbit antiserum by affinity-chromatography using epitope-specific immunogen.
Concentration:1 mg/ml
Storage Stability:-15°C to -25°C/1 year(Do not lower than -25°C)
Other Name:ALPP;PLAP;Alkaline phosphatase, placental type;Alkaline phosphatase Regan isozyme;Placental alkaline phosphatase 1;PLAP-1;ALPPL2;ALPPL;Alkaline phosphatase, placental-likeALP-1;Alkaline phosphatase Nagao isozyme;Germ cell alkaline phosphatase;GCAP;Placental alkaline phosphatase-like;PLAP-like
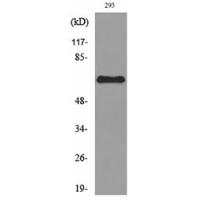
Observed Band(KD):60kD
Background: The protein encoded by this gene is an alkaline phosphatase, a metalloenzyme that catalyzes the hydrolysis of phosphoric acid monoesters. It belongs to a multigene family composed of four alkaline phosphatase isoenzymes. The enzyme functions as a homodimer and has a catalytic site containing one magnesium and two zinc ions, which are required for its enzymatic function. The protein is primarily expressed in placental and endometrial tissue; however, strong ectopic expression has been detected in ovarian adenocarcinoma, serous cystadenocarcinoma, and other ovarian cancer cells. [provided by RefSeq, Jan 2015],
Function:catalytic activity:A phosphate monoester + H(2)O = an alcohol + phosphate.,cofactor:Binds 1 magnesium ion.,cofactor:Binds 2 zinc ions.,miscellaneous:In most mammals there are four different isozymes: placental, placental-like, intestinal and tissue non-specific (liver/bone/kidney).,online information:Alkaline phosphatase entry,polymorphism:Placental ALP is highly polymorphic, there are at least three common alleles.,similarity:Belongs to the alkaline phosphatase family.,subunit:Homodimer.,
Subcellular Location:Cell membrane; Lipid-anchor, GPI-anchor .
Expression:Detected in placenta (at protein level).
商品信息已成功复制,启研竭诚为您服务
