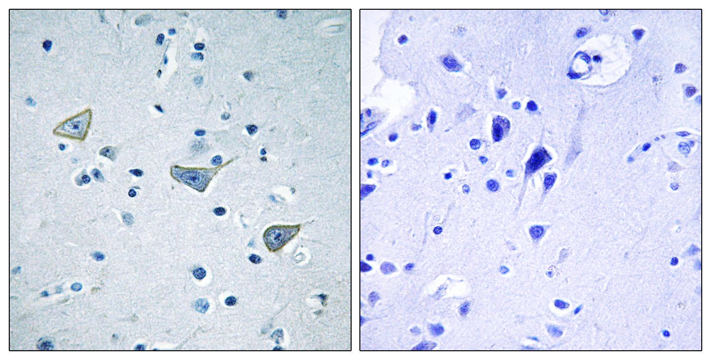
Target:GPR158
Gene Name:GPR158
Protein Name:Probable G-protein coupled receptor 158
Human Gene Id:57512
Human Swiss Prot No:Q5T848
Mouse Gene Id:241263
Mouse Swiss Prot No:Q8C419
Immunogen:The antiserum was produced against synthesized peptide derived from human GPR158. AA range:1-50
Specificity:GPR158 Polyclonal Antibody detects endogenous levels of GPR158 protein.
Formulation:Liquid in PBS containing 50% glycerol, 0.5% BSA and 0.02% sodium azide.
Source:Polyclonal, Rabbit,IgG
Dilution:WB 1:500 - 1:2000. IHC 1:100 - 1:300. IF 1:200 - 1:1000. ELISA: 1:5000. Not yet tested in other applications.
Purification:The antibody was affinity-purified from rabbit antiserum by affinity-chromatography using epitope-specific immunogen.
Concentration:1 mg/ml
Storage Stability:-15°C to -25°C/1 year(Do not lower than -25°C)
Other Name:GPR158;KIAA1136;Probable G-protein coupled receptor 158
Observed Band(KD):150kD
Background:function:Orphan receptor.,similarity:Belongs to the G-protein coupled receptor 3 family.,
Function:function:Orphan receptor.,similarity:Belongs to the G-protein coupled receptor 3 family.,
Subcellular Location:Cell membrane; Multi-pass membrane protein.
Expression: Brain,
商品信息已成功复制,启研竭诚为您服务
