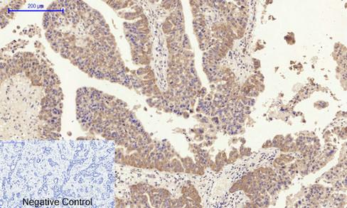
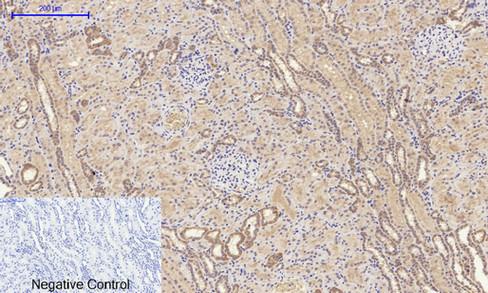
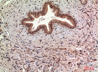
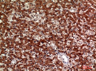
Target:CD63
Fields:Lysosome;Proteoglycans in cancer
Gene Name:CD63
Protein Name:CD63 antigen
Human Gene Id:967
Human Swiss Prot No:P08962
Mouse Swiss Prot No:P41731
Immunogen:The antiserum was produced against synthesized peptide derived from the Internal region of human CD63. AA range:121-170
Specificity:CD63 Polyclonal Antibody detects endogenous levels of CD63 protein.
Formulation:Liquid in PBS containing 50% glycerol, 0.5% BSA and 0.02% sodium azide.
Source:Polyclonal, Rabbit,IgG
Dilution:IF 1:50-200 WB 1:500 - 1:2000. IHC: 1:100-1:300. ELISA: 1:20000. Not yet tested in other applications.
Purification:The antibody was affinity-purified from rabbit antiserum by affinity-chromatography using epitope-specific immunogen.
Concentration:1 mg/ml
Storage Stability:-15°C to -25°C/1 year(Do not lower than -25°C)
Other Name:CD63;MLA1;TSPAN30;CD63 antigen;Granulophysin;Lysosomal-associated membrane protein 3;LAMP-3;Melanoma-associated antigen ME491;OMA81H;Ocular melanoma-associated antigen;Tetraspanin-30;Tspan-30;CD63
Observed Band(KD):26,35-65(kD
Background: The protein encoded by this gene is a member of the transmembrane 4 superfamily, also known as the tetraspanin family. Most of these members are cell-surface proteins that are characterized by the presence of four hydrophobic domains. The proteins mediate signal transduction events that play a role in the regulation of cell development, activation, growth and motility. The encoded protein is a cell surface glycoprotein that is known to complex with integrins. It may function as a blood platelet activation marker. Deficiency of this protein is associated with Hermansky-Pudlak syndrome. Also this gene has been associated with tumor progression. Alternative splicing results in multiple transcript variants encoding different protein isoforms. [provided by RefSeq, Apr 2012],
Function:function:This antigen is associated with early stages of melanoma tumor progression. May play a role in growth regulation.,miscellaneous:Lack of expression of CD63 in platelets has been observed in a patient with Hermansky-Pudlak syndrome (HPS). Hermansky-Pudlak syndrome (HPS) is a genetically heterogeneous, rare, autosomal recessive disorder characterized by oculocutaneous albinism, bleeding due to platelet storage pool deficiency, and lysosomal storage defects. This syndrome results from defects of diverse cytoplasmic organelles including melanosomes, platelet dense granules and lysosomes. Ceroid storage in the lungs is associated with pulmonary fibrosis, a common cause of premature death in individuals with HPS.,similarity:Belongs to the tetraspanin (TM4SF) family.,subcellular location:Also found in Weibel-Palade bodies of endothelial cells. Located in platelet dense granules.,tissue
Subcellular Location:Cell membrane ; Multi-pass membrane protein . Lysosome membrane ; Multi-pass membrane protein . Late endosome membrane ; Multi-pass membrane protein . Endosome, multivesicular body . Melanosome . Secreted, extracellular exosome . Cell surface . Also found in Weibel-Palade bodies of endothelial cells (PubMed:10793155). Located in platelet dense granules (PubMed:7682577). Detected in a subset of pre-melanosomes. Detected on intralumenal vesicles (ILVs) within multivesicular bodies (PubMed:21962903). .
Expression:Detected in platelets (at protein level). Dysplastic nevi, radial growth phase primary melanomas, hematopoietic cells, tissue macrophages.
商品信息已成功复制,启研竭诚为您服务
