Target:TIMP-4
Gene Name:TIMP4
Protein Name:Metalloproteinase inhibitor 4
Human Gene Id:7079
Human Swiss Prot No:Q99727
Mouse Gene Id:110595
Mouse Swiss Prot No:Q9JHB3
Rat Gene Id:680130
Rat Swiss Prot No:P81556
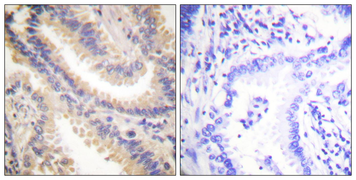
Immunogen:The antiserum was produced against synthesized peptide derived from human TIMP4. AA range:175-224
Specificity:TIMP-4 Polyclonal Antibody detects endogenous levels of TIMP-4 protein.
Formulation:Liquid in PBS containing 50% glycerol, 0.5% BSA and 0.02% sodium azide.
Source:Polyclonal, Rabbit,IgG
Dilution:WB 1:500 - 1:2000. IHC 1:100 - 1:300. ELISA: 1:20000.. IF 1:50-200
Purification:The antibody was affinity-purified from rabbit antiserum by affinity-chromatography using epitope-specific immunogen.
Concentration:1 mg/ml
Storage Stability:-15°C to -25°C/1 year(Do not lower than -25°C)
Other Name:TIMP4;Metalloproteinase inhibitor 4;Tissue inhibitor of metalloproteinases 4;TIMP-4
Observed Band(KD):26kD
Background: This gene belongs to the TIMP gene family. The proteins encoded by this gene family are inhibitors of the matrix metalloproteinases, a group of peptidases involved in degradation of the extracellular matrix. The secreted, netrin domain-containing protein encoded by this gene is involved in regulation of platelet aggregation and recruitment and may play role in hormonal regulation and endometrial tissue remodeling. [provided by RefSeq, Jul 2008],
Function:function:Complexes with metalloproteinases (such as collagenases) and irreversibly inactivates them. Known to act on MMP-1, MMP-2, MMP-3, MMP-7 and MMP-9.,similarity:Belongs to the protease inhibitor I35 (TIMP) family.,similarity:Contains 1 NTR domain.,tissue specificity:Abundant in heart and present at low levels in many other tissues.,
Subcellular Location:Secreted.
Expression:Abundant in heart and present at low levels in many other tissues.
商品信息已成功复制,启研竭诚为您服务
