Target:TSSC3
Gene Name:PHLDA2
Protein Name:Pleckstrin homology-like domain family A member 2
Human Gene Id:7262
Human Swiss Prot No:Q53GA4
Mouse Swiss Prot No:O08969
Immunogen:The antiserum was produced against synthesized peptide derived from human PHLDA2. AA range:81-130
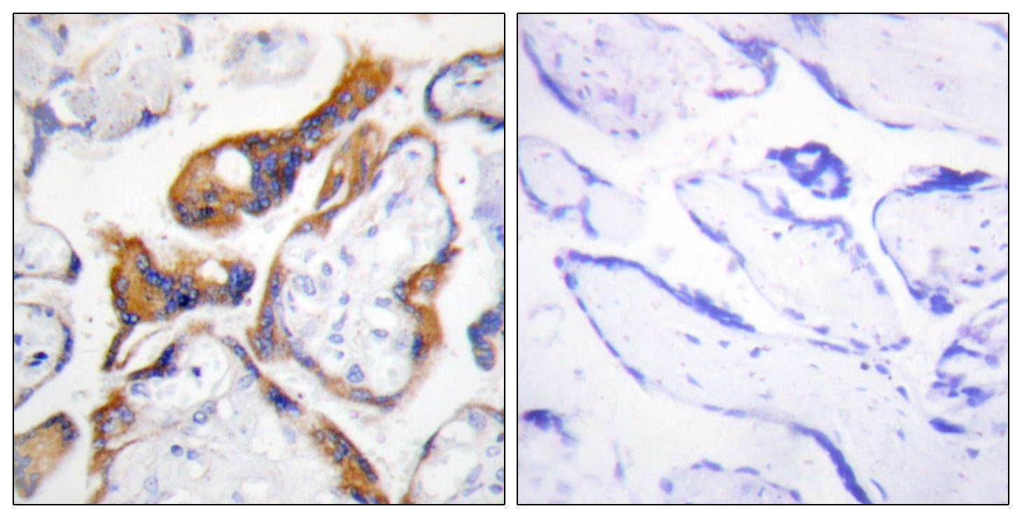
Specificity:TSSC3 Polyclonal Antibody detects endogenous levels of TSSC3 protein.
Formulation:Liquid in PBS containing 50% glycerol, 0.5% BSA and 0.02% sodium azide.
Source:Polyclonal, Rabbit,IgG
Dilution:IHC 1:100 - 1:300. ELISA: 1:20000.. IF 1:50-200
Purification:The antibody was affinity-purified from rabbit antiserum by affinity-chromatography using epitope-specific immunogen.
Concentration:1 mg/ml
Storage Stability:-15°C to -25°C/1 year(Do not lower than -25°C)
Other Name:PHLDA2;BWR1C;HLDA2;IPL;TSSC3;Pleckstrin homology-like domain family A member 2;Beckwith-Wiedemann syndrome chromosomal region 1 candidate gene C protein;Imprinted in placenta and liver protein;Tumor-suppressing STF cDNA 3 protein;T
Molecular Weight(Da):17kD
Background: This gene is located in a cluster of imprinted genes on chromosome 11p15.5, which is considered to be an important tumor suppressor gene region. Alterations in this region may be associated with the Beckwith-Wiedemann syndrome, Wilms tumor, rhabdomyosarcoma, adrenocortical carcinoma, and lung, ovarian, and breast cancer. This gene has been shown to be imprinted, with preferential expression from the maternal allele in placenta and liver. [provided by RefSeq, Oct 2010],
Function:domain:The PH domain binds phosphoinositides with a broad specificity. It may compete with the PH domain of some other proteins, thereby interfering with their binding to phosphatidylinositol 4,5-bisphosphate (PIP2) and phosphatidylinositol 3,4,5-triphosphate (PIP3).,function:Plays a role in regulating placenta growth. May act via its PH domain that competes with other PH domain-containing proteins, thereby preventing their binding to membrane lipids.,induction:Maternal PHLDA2 allele is activated, while paternal Phlda2 is repressed due to genomic imprinting. Down-regulated by hypoxia. Although highly similar to PHLDA3 protein, it is not regulated by p53/TP53.,miscellaneous:The PHLDA2 locus is imprinted. Loss of imprinting results in overexpression. Imprinting is dependent on RNAi machinery.,similarity:Belongs to the PHLDA2 family.,similarity:Contains 1 PH domain.,tissue specificity:Expre
Subcellular Location:Cytoplasm . Membrane ; Peripheral membrane protein .
Expression:Expressed in placenta and adult prostate gland. In placenta, it is present in all cells of the villous cytotrophoblast. The protein is absent in cells from hydatidiform moles. Hydatidiform mole is a gestation characterized by abnormal development of both fetus and trophoblast. The majority of hydatidiform moles are associated with an excess of paternal to maternal genomes and are likely to result from the abnormal expression of imprinted genes (at protein level). Expressed at low levels in adult liver and lung, and fetal liver. Expressed in adult brain and neuroblastoma, medullablastoma and glioblastoma cell lines.
商品信息已成功复制,启研竭诚为您服务
